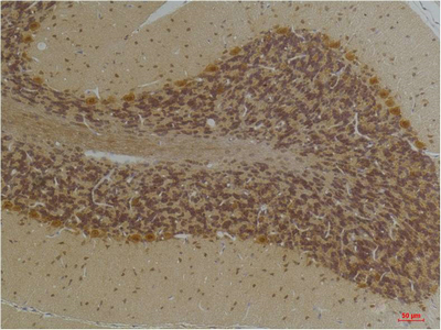
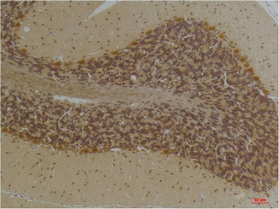
Main InformationTargetKCNN2Host SpeciesRabbitReactivityHuman, Rat, MouseApplicationsWB, IHC, IFMW70,26kD (Observed)Conjugate/ModificationUnmodifiedDetailed InformationRecommended Dilution RatioWB 1:1000-2000; IHC 1:100-200; IF 1:50-200FormulationLiquid in PBS containing 50% glycerol, 0.5% BSA and 0.02% sodium azide.SpecificityKCNN2(SK2) protein(A244) detects endogenous levels of KCNN2(SK2)PurificationThe antibody was affinity-purified from rabbit antiserum by affinity-chromatography using epitope-specific immunogen.Storage-15°C to -25°C/1 year(Do not lower than -25°C)Concentration1 mg/mlMW(Observed)70,26kDModificationUnmodifiedClonalityPolyclonalIsotypeIgGAntigen&Target InformationImmunogen:Synthetic Peptide of KCNN2 (SK2)Specificity:KCNN2(SK2) protein(A244) detects endogenous levels of KCNN2(SK2)Other Name:YM3565Background:potassium calcium-activated channel subfamily N member 2(KCNN2) Homo sapiens Action potentials in vertebrate neurons are followed by an afterhyperpolarization (AHP) that may persist for several seconds and may have profound consequences for the firing pattern of the neuron. Each component of the AHP is kinetically distinct and is mediated by different calcium-activated potassium channels. The protein encoded by this gene is activated before membrane hyperpolarization and is thought to regulate neuronal excitability by contributing to the slow component of synaptic AHP. This gene is a member of the KCNN family of potassium channel genes. The encoded protein is an integral membrane protein that forms a voltage-independent calcium-activated channel with three other calmodulin-binding subunits. Alternate splicing of this gene results in multiple transcript variants. [provided by RefSeq, May 2013],Function:Function:Forms a voltage-independent potassium channel activated by intracellular calcium. Activation is followed by membrane hyperpolarization. Thought to regulate neuronal excitability by contributing to the slow component of synaptic afterhyperpolarization. The channel is blocked by apamin.,similarity:Belongs to the potassium channel KCNN family.,subunit:Heterooligomer. The complex is composed of 4 channel subunits each of which binds to a calmodulin subunit which regulates the channel activity through calcium-binding.,tissue specificity:Widely expressed.,Cellular Localization:smooth endoplasmic reticulum,plasma membrane,cell surface,integral component of membrane,Z disc,T-tubule,neuronal cell body,dendritic spine,Tissue Expression:Brain,Heart,Hippocampus,Myometrium,Skin,
