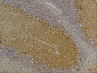
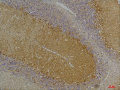
Main InformationTargetKCNN3Host SpeciesRabbitReactivityHuman, RatApplicationsIHC, IFMW82kD (Observed)Conjugate/ModificationUnmodifiedDetailed InformationRecommended Dilution RatioIHC 1:100-200; IF 1:50-200FormulationLiquid in PBS containing 50% glycerol, 0.5% BSA and 0.02% sodium azide.SpecificityKCNN3(SK3) protein(A246) detects endogenous levels of KCNN3(SK3)PurificationThe antibody was affinity-purified from rabbit antiserum by affinity-chromatography using epitope-specific immunogen.Storage-15°C to -25°C/1 year(Do not lower than -25°C)Concentration1 mg/mlMW(Observed)82kDModificationUnmodifiedClonalityPolyclonalIsotypeIgGAntigen&Target InformationImmunogen:Synthetic Peptide of KCNN3 (SK3) AA range: 161-211Specificity:KCNN3(SK3) protein(A246) detects endogenous levels of KCNN3(SK3)Gene Name:KCNN3Protein Name:Small conductance calcium-activated potassium channel protein 3 (SK3) (SKCa 3) (SKCa3) (KCa2.3)Other Name:Small conductance calcium-activated potassium channel protein 3 ; SK3 ; SKCa 3 ; SKCa3 ; KCa2.3 ;Background:potassium calcium-activated channel subfamily N member 3(KCNN3) Homo sapiens Action potentials in vertebrate neurons are followed by an afterhyperpolarization (AHP) that may persist for several seconds and may have profound consequences for the firing pattern of the neuron. Each component of the AHP is kinetically distinct and is mediated by different calcium-activated potassium channels. This gene belongs to the KCNN family of potassium channels. It encodes an integral membrane protein that forms a voltage-independent calcium-activated channel, which is thought to regulate neuronal excitability by contributing to the slow component of synaptic AHP. This gene contains two CAG repeat regions in the coding sequence. It was thought that expansion of one or both of these repeats could lead to an increased susceptibility to schizophrenia or bipolar disorder, but studies indicate that this is probably not the case. Alternatively spliced transcript vFunction:Function:Forms a voltage-independent potassium channel activated by intracellular calcium. Activation is followed by membrane hyperpolarization. Thought to regulate neuronal excitability by contributing to the slow component of synaptic afterhyperpolarization. The channel is blocked by apamin.,polymorphism:The second poly-Gln region of KCNN3 is highly polymorphic and the number of Gln varies from 12 to 28 in the population.,similarity:Belongs to the potassium channel KCNN family.,subunit:Heterooligomer. The complex is composed of 4 channel subunits each of which binds to a calmodulin subunit which regulates the channel activity through calcium-binding.,Cellular Localization:Membrane; Multi-pass membrane protein.Tissue Expression:Atrium,Lymph,Non-pregnant myometrium,Research Areas:>>Insulin secretion ; >>GnRH secretion
商品信息已成功复制,启研竭诚为您服务
