欢迎来到启研生物[ 会员登录 ] [ 立即注册 ]
400-812-0026

购物车0

您购物车为空,赶紧选购吧!
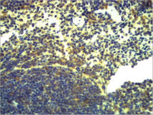
TLR2 Polyclonal Antibody
TLR2 Polyclonal Antibody
<
>
TLR2 Polyclonal Antibody
市场价格
经销商客户: ¥214.5
实验室客户: ¥292.5
一键复制商品信息
近期销售量0 用户评价:comment rank 5()
文件与质量管理
浏览历史 [清空]

商品描述

商品属性

Main Information
Target
TLR2
Host Species
Rabbit
Reactivity
Human, Mouse, Rat
Applications
IHC, IF
Conjugate/Modification
Unmodified
Detailed Information
Recommended Dilution Ratio
IHC 1:200-500; IF 1:50-200
Formulation
PBS, pH 7.4, containing 0.5%BSA, 0.02% sodium azide as Preservative and 50% Glycerol.
Specificity
The antibody detects endogenous TLR2 protein.
Purification
The antibody was affinity-purified from rabbit antiserum by affinity-chromatography using epitope-specific immunogen.
Storage
-15°C to -25°C/1 year(Do not lower than -25°C)
Modification
Unmodified
Clonality
Polyclonal
Isotype
IgG
Antigen&Target Information
Immunogen:
Recombinant Protein of TLR2
Specificity:
The antibody detects endogenous TLR2 protein.
Gene Name:
TLR2
Protein Name:
Toll-like receptor 2
Other Name:
TLR2 ;
TIL4 ;
Toll-like receptor 2 ;
Toll/interleukin-1 receptor-like protein 4 ;
CD282
Database Link:
Organism Gene ID SwissProt
Human 7097; O60603;
Mouse Q9QUN7;
Background:
The protein encoded by this gene is a member of the Toll-like receptor (TLR) family which plays a fundamental role in pathogen recognition and activation of innate immunity. TLRs are highly conserved from Drosophila to humans and share structural and functional similarities. This protein is a cell-surface protein that can form heterodimers with other TLR family members to recognize conserved molecules derived from microorganisms known as pathogen-associated molecular patterns (PAMPs). Activation of TLRs by PAMPs leads to an up-regulation of signaling pathways to modulate the host's inflammatory response. This gene is also thought to promote apoptosis in response to bacterial lipoproteins. This gene has been implicated in the pathogenesis of several autoimmune diseases. Alternative splicing results in multiple transcript variants. [provided by RefSeq, Jan 2016],
Function:
Function:Cooperates with LY96 to mediate the innate immune response to bacterial lipoproteins and other microbial cell wall components. Cooperates with TLR1 to mediate the innate immune response to bacterial lipoproteins or lipopeptides. Acts via MYD88 and TRAF6, leading to NF-kappa-B activation, cytokine secretion and the inflammatory response. May also promote apoptosis in response to lipoproteins. Recognizes mycoplasmal macrophage-activating lipopeptide-2kD (MALP-2), soluble tuberculosis factor (STF), phenol-soluble modulin (PSM) and B.burgdorferi outer surface protein A lipoprotein (OspA-L) cooperatively with TLR6.,polymorphism:Genetic variations in TLR2 are associated with suceptibility to leprosy [MIM:246300]. Leprosy is a chronic disease associated with depressed cellular (but not humoral) immunity, the bacterium requires a lower temperature than 37 degrees Celsius and thrives particularly in peripheral Schwann cells and macrophages. The Trp-677 polymorphism in the intracellular domain of TLR2 has a role in susceptibility to lepromatous leprosy. Wild-type TLR2 mediates CD14-enhanced Mycobacterium leprae-dependent activation of NFKB1, but TLR2 containing the Trp-677 polymorphism did not. The impaired function of the Trp-677 polymorphism provides a molecular mechanism for the poor cellular immune response associated with lepromatous leprosy.,PTM:Glycosylation of Asn-442 is critical for secretion of the N-terminal ectodomain of TLR2.,similarity:Belongs to the Toll-like receptor family.,similarity:Contains 1 TIR domain.,similarity:Contains 14 LRR (leucine-rich) repeats.,subunit:Interacts with LY96, TLR1 and TLR6 (via extracellular domain). Binds MYD88 (via TIR domain). Interacts with TICAM1. Ligand binding induces the formation of a heterodimer with TLR1.,tissue specificity:Highly expressed in peripheral blood leukocytes, in particular in monocytes, in bone marrow, lymph node and in spleen. Also detected in lung and in fetal liver. Levels are low in other tissues.,
Cellular Localization:
Membrane ; Single-pass type I membrane protein . Cytoplasmic vesicle, phagosome membrane ; Single-pass type I membrane protein . Membrane raft . Does not reside in lipid rafts before stimulation but accumulates increasingly in the raft upon the presence of the microbial ligand. In response to diacylated lipoproteins, TLR2:TLR6 heterodimers are recruited in lipid rafts, this recruitment determines the intracellular targeting to the Golgi apparatus. Triacylated lipoproteins induce the same mechanism for TLR2:TLR1 heterodimers. .
Tissue Expression:
Highly expressed in peripheral blood leukocytes, in particular in monocytes, in bone marrow, lymph node and in spleen. Also detected in lung and in fetal liver. Levels are low in other tissues.
Research Areas:
>>Phagosome ;
>>PI3K-Akt signaling pathway ;
>>Neutrophil extracellular trap formation ;
>>Toll-like receptor signaling pathway ;
>>Salmonella infection ;
>>Legionellosis ;
>>Leishmaniasis ;
>>Chagas disease ;
>>Malaria ;
>>Toxoplasmosis ;
>>Amoebiasis ;
>>Tuberculosis ;
>>Hepatitis B ;
>>Measles ;
>>Herpes simplex virus 1 infection ;
>>Epstein-Barr virus infection ;
>>Human immunodeficiency virus 1 infection ;
>>Coronavirus disease - COVID-19 ;
>>Proteoglycans in cancer ;
>>PD-L1 expression and PD-1 checkpoint pathway in cancer ;
>>Inflammatory bowel disease ;
>>Rheumatoid arthritis ;
>>Lipid and atherosclerosis

商品信息已成功复制,启研竭诚为您服务

广告说明