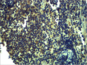
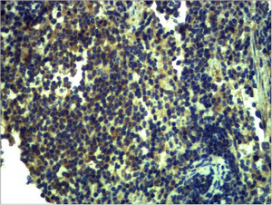
Main InformationTargetTLR13Host SpeciesRabbitReactivityHuman, Mouse, RatApplicationsIHC, IFConjugate/ModificationUnmodifiedDetailed InformationRecommended Dilution RatioIHC 1:200-500; IF 1:50-200FormulationPBS, pH 7.4, containing 0.5%BSA, 0.02% sodium azide as Preservative and 50% Glycerol.SpecificityThe antibody detects endogenous TLR13 protein.PurificationThe antibody was affinity-purified from rabbit antiserum by affinity-chromatography using epitope-specific immunogen.Storage-15°C to -25°C/1 year(Do not lower than -25°C)ModificationUnmodifiedClonalityPolyclonalIsotypeIgGAntigen&Target InformationImmunogen:Recombinant Protein of TLR13Specificity:The antibody detects endogenous TLR13 protein.Gene Name:TLR13Protein Name:Toll-like receptor 13Other Name:YM3389Background:The TLRs form a family of ligand-binding proteins that engage a variety of microbial products, that on binding, activate signaling cascades leading to the synthesis of proinflammatory molecules. TLR13 is found in mouse and participates in the innate immune response to microbial agents. It acts via MYD88 and TRAF6, leading to NF-kappa-B activation, cytokine secretion and the inflammatory response.
