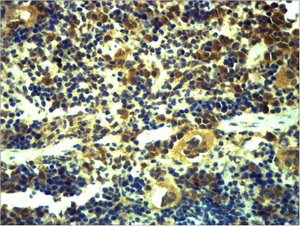
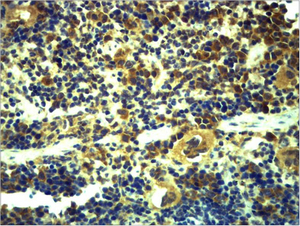
Main InformationTargetTLR6Host SpeciesRabbitReactivityHuman, Mouse, RatApplicationsIHC, IFConjugate/ModificationUnmodifiedDetailed InformationRecommended Dilution RatioIHC 1:200-500; IF 1:50-200FormulationPBS, pH 7.4, containing 0.5%BSA, 0.02% sodium azide as Preservative and 50% Glycerol.SpecificityThe antibody detects endogenous TLR6 protein.PurificationThe antibody was affinity-purified from rabbit antiserum by affinity-chromatography using epitope-specific immunogen.Storage-15°C to -25°C/1 year(Do not lower than -25°C)ModificationUnmodifiedClonalityPolyclonalIsotypeIgGAntigen&Target InformationImmunogen:Recombinant Protein of TLR6Specificity:The antibody detects endogenous TLR6 protein.Gene Name:TLR6Protein Name:Toll-like receptor 6Other Name:Toll-like receptor 6 ; CD286Background:The protein encoded by this gene is a member of the Toll-like receptor (TLR) family which plays a fundamental role in pathogen recognition and activation of innate immunity. TLRs are highly conserved from Drosophila to humans and share structural and functional similarities. They recognize pathogen-associated molecular patterns (PAMPs) that are expressed on infectious agents, and mediate the production of cytokines necessary for the development of effective immunity. The various TLRs exhibit different patterns of expression. This receptor functionally interacts with toll-like receptor 2 to mediate cellular response to bacterial lipoproteins. A Ser249Pro polymorphism in the extracellular domain of the encoded protein may be associated with an increased of asthma is some populations.[provided by RefSeq, Jan 2011],Function:Function:Participates in the innate immune response to Gram-positive bacteria and fungi. Acts via MYD88 and TRAF6, leading to NF-kappa-B activation, cytokine secretion and the inflammatory response. Recognizes mycoplasmal macrophage-activating lipopeptide-2kD (MALP-2), soluble tuberculosis factor (STF), phenol-soluble modulin (PSM) and B.burgdorferi outer surface protein A lipoprotein (OspA-L) cooperatively with TLR2.,similarity:Belongs to the Toll-like receptor family.,similarity:Contains 1 TIR domain.,similarity:Contains 13 LRR (leucine-rich) repeats.,subunit:Binds TLR2 via their respective extracellular domains. Binds MYD88 via their respective TIR domains.,tissue specificity:Detected in monocytes, CD11c+ immature dendritic cells, plasmacytoid pre-dendritic cells and dermal microvessel endothelial cells.,Cellular Localization:Cell membrane ; Single-pass type I membrane protein . Cytoplasmic vesicle, phagosome membrane ; Single-pass type I membrane protein . Membrane raft . Golgi apparatus . Upon complex formation with CD36 and TLR4, internalized through dynamin-dependent endocytosis. Does not reside in lipid rafts before stimulation but accumulates increasingly in the raft upon the presence of the microbial ligand. In response to diacylated lipoproteins, TLR2:TLR6 heterodimers are recruited in lipid rafts, this recruitment determine the intracellular targeting to the Golgi apparatus (PubMed:16880211). .Tissue Expression:Detected in monocytes, CD11c+ immature dendritic cells, plasmacytoid pre-dendritic cells and dermal microvessel endothelial cells.Research Areas:>>Phagosome ; >>Toll-like receptor signaling pathway ; >>Salmonella infection ; >>Chagas disease ; >>Tuberculosis ; >>Lipid and atherosclerosis
商品信息已成功复制,启研竭诚为您服务
