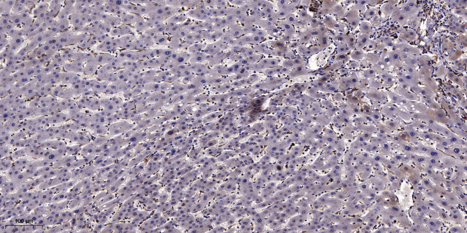
Main InformationTargetGlypican-2Host SpeciesRabbitReactivityHuman, Rat, Mouse,ApplicationsIHC, IF, WBMW65kD (Observed)Conjugate/ModificationUnmodifiedDetailed InformationRecommended Dilution RatioIHC 1:50-200; WB 1:500-2000; IF 1:50-200FormulationLiquid in PBS containing 50% glycerol, 0.5% BSA and 0.02% sodium azide.SpecificityThis antibody detects endogenous levels of human Glypican-2PurificationThe antibody was affinity-purified from rabbit antiserum by affinity-chromatography using epitope-specific immunogen.Storage-15°C to -25°C/1 year(Do not lower than -25°C)Concentration1 mg/mlMW(Observed)65kDModificationUnmodifiedClonalityPolyclonalIsotypeIgGAntigen&Target InformationImmunogen:Synthesized peptide derived from human Glypican-2Specificity:This antibody detects endogenous levels of human Glypican-2Gene Name:GPC2Protein Name:Glypican-2Other Name:Glypican-2 [Cleaved into: Secreted glypican-2]Background:function:Cell surface proteoglycan that bears heparan sulfate. May fulfill a function related to the motile behaviors of developing neurons.,similarity:Belongs to the glypican family.,Function:Function:Cell surface proteoglycan that bears heparan sulfate. May fulfill a function related to the motile behaviors of developing neurons.,similarity:Belongs to the glypican family.,Cellular Localization:Cell membrane ; Lipid-anchor, GPI-anchor ; Extracellular side .; [Secreted glypican-2]: Secreted, extracellular space .Tissue Expression:Brain,
商品信息已成功复制,启研竭诚为您服务
