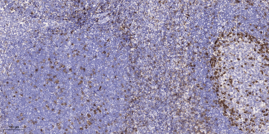
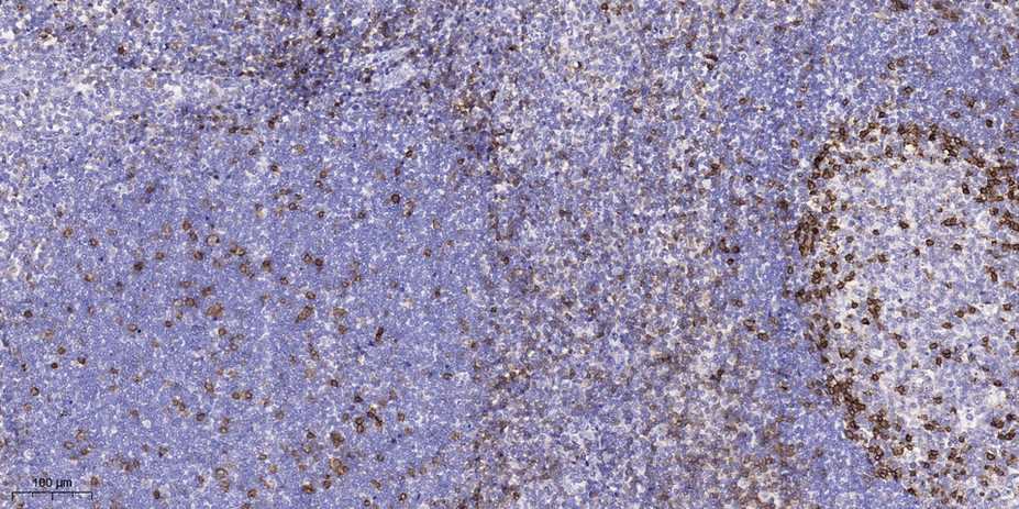
Main InformationTargetCD105(Endoglin)Host SpeciesRabbitReactivityHuman, Mouse, RatApplicationsIHC, IF, WBMW72kD (Observed)Conjugate/ModificationUnmodifiedDetailed InformationRecommended Dilution RatioIHC 1:50-200; WB 1:500-2000; IF 1:50-200FormulationLiquid in PBS containing 50% glycerol, 0.5% BSA and 0.02% sodium azide.SpecificityThis antibody detects endogenous levels of human CD105PurificationThe antibody was affinity-purified from rabbit antiserum by affinity-chromatography using epitope-specific immunogen.Storage-15°C to -25°C/1 year(Do not lower than -25°C)Concentration1 mg/mlMW(Observed)72kDModificationUnmodifiedClonalityPolyclonalIsotypeIgGAntigen&Target InformationImmunogen:Synthesized peptide derived from human CD105Specificity:This antibody detects endogenous levels of human CD105Gene Name:ENG ENDProtein Name:CD105Other Name:Endoglin ; CD antigen CD105 ;Background:This gene encodes a homodimeric transmembrane protein which is a major glycoprotein of the vascular endothelium. This protein is a component of the transforming growth factor beta receptor complex and it binds to the beta1 and beta3 peptides with high affinity. Mutations in this gene cause hereditary hemorrhagic telangiectasia, also known as Osler-Rendu-Weber syndrome 1, an autosomal dominant multisystemic vascular dysplasia. This gene may also be involved in preeclampsia and several types of cancer. Alternatively spliced transcript variants encoding different isoforms have been found for this gene. [provided by RefSeq, May 2013],Function:Disease:Defects in ENG are the cause of hereditary hemorrhagic telangiectasia type 1 (HHT1) [MIM:187300, 108010]; also known as Osler-Rendu-Weber syndrome 1 (ORW1). HHT1 is an autosomal dominant multisystemic vascular dysplasia, characterized by recurrent epistaxis, muco-cutaneous telangiectases, gastro-intestinal hemorrhage, and pulmonary (PAVM), cerebral (CAVM) and hepatic arteriovenous malformations; all secondary manifestations of the underlying vascular dysplasia. Although the first symptom of HHT1 in children is generally nose bleed, there is an important clinical heterogeneity.,Function:Major glycoprotein of vascular endothelium. May play a critical role in the binding of endothelial cells to integrins and/or other RGD receptors.,subunit:Homodimer that forms an heteromeric complex with the signaling receptors for transforming growth factor-beta: TGF-beta receptors I and/or II. It is able to bind TGF-beta 1, and 3 efficiently and TGF-beta 2 less efficiently. Interacts with TCTEX1D4.,tissue specificity:Endoglin is restricted to endothelial cells in all tissues except bone marrow.,Cellular Localization:Cell membrane ; Single-pass type I membrane protein .Tissue Expression:Detected on umbilical veil endothelial cells (PubMed:10625079). Detected in placenta (at protein level) (PubMed:1692830). Detected on endothelial cells (PubMed:1692830).
商品信息已成功复制,启研竭诚为您服务
