欢迎来到启研生物[ 会员登录 ] [ 立即注册 ]
400-812-0026

购物车0

您购物车为空,赶紧选购吧!
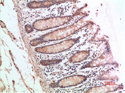
ATM Rabbit Polyclonal Antibody
ATM Rabbit Polyclonal Antibody
<
>
ATM Rabbit Polyclonal Antibody
市场价格
经销商客户: ¥214.5
实验室客户: ¥292.5
一键复制商品信息
近期销售量0 用户评价:comment rank 5()
文件与质量管理
浏览历史 [清空]

商品描述

商品属性

Main Information
Target
Atm
Host Species
Rabbit
Reactivity
Human, Mouse
Applications
IHC, IF
MW
350kD (Observed)
Conjugate/Modification
Unmodified
Detailed Information
Recommended Dilution Ratio
IHC 1:100-200; IF 1:50-200
Formulation
Liquid in PBS containing 50% glycerol, 0.5% BSA and 0.02% sodium azide.
Specificity
ATM protein detects endogenous levels of ATM
Purification
The antibody was affinity-purified from rabbit antiserum by affinity-chromatography using epitope-specific immunogen.
Storage
-15°C to -25°C/1 year(Do not lower than -25°C)
Concentration
1 mg/ml
MW(Observed)
350kD
Modification
Unmodified
Clonality
Polyclonal
Isotype
IgG
Antigen&Target Information
Immunogen:
Recombinant Protein of ATM of ATM
Specificity:
ATM protein detects endogenous levels of ATM
Gene Name:
ATM
Protein Name:
ATM
Other Name:
ATM
Database Link:
Organism Gene ID SwissProt
Human 472; Q13315;
Mouse Q62388;
Background:
The protein encoded by this gene belongs to the PI3/PI4-kinase family. This protein is an important cell cycle checkpoint kinase that phosphorylates; thus, it functions as a regulator of a wide variety of downstream proteins, including tumor suppressor proteins p53 and BRCA1, checkpoint kinase CHK2, checkpoint proteins RAD17 and RAD9, and DNA repair protein NBS1. This protein and the closely related kinase ATR are thought to be master controllers of cell cycle checkpoint signaling pathways that are required for cell response to DNA damage and for genome stability. Mutations in this gene are associated with ataxia telangiectasia, an autosomal recessive disorder. [provided by RefSeq, Aug 2010],
Function:
Catalytic activity:ATP + a protein = ADP + a phosphoprotein.,Disease:Defects in ATM are the cause of ataxia telangiectasia (AT) [MIM:208900]; also known as Louis-Bar syndrome, which includes four complementation groups: A, C, D and E. This rare recessive disorder is characterized by progressive cerebellar ataxia, dilation of the blood vessels in the conjunctiva and eyeballs, immunodeficiency, growth retardation and sexual immaturity. AT patients have a strong predisposition to cancer; about 30% of patients develop tumors, particularly lymphomas and leukemias. Cells from affected individuals are highly sensitive to damage by ionizing radiation and resistant to inhibition of DNA synthesis following irradiation.,Disease:Defects in ATM contribute to B-cell chronic lymphocytic leukemia (BCLL). BCLL is the commonest form of leukemia in the elderly. It is characterized by the accumulation of mature CD5+ B lymphocytes, lymphadenopathy, immunodeficiency and bone marrow failure.,Disease:Defects in ATM contribute to B-cell non-Hodgkin lymphomas (BNHL), including mantle cell lymphoma (MCL).,Disease:Defects in ATM contribute to T-cell acute lymphoblastic leukemia (TALL) and T-prolymphocytic leukemia (TPLL). TPLL is characterized by a high white blood cell count, with a predominance of prolymphocytes, marked splenomegaly, lymphadenopathy, skin lesions and serous effusion. The clinical course is highly aggressive, with poor response to chemotherapy and short survival time. TPLL occurs both in adults as a sporadic disease and in younger AT patients.,Domain:The FATC domain is required for interaction with HTATIP.,enzyme regulation:Inhibited by wortmannin.,Function:Serine/threonine protein kinase which activates checkpoint signaling upon double strand breaks (DSBs), apoptosis and genotoxic stresses such as ionizing ultraviolet A light (UVA), thereby acting as a DNA damage sensor. Recognizes the substrate consensus sequence [ST]-Q. Phosphorylates 'Ser-139' of histone variant H2AX/H2AFX at double strand breaks (DSBs), thereby regulating DNA damage response mechanism. Also involved in signal transduction and cell cycle control. May function as a tumor suppressor. Necessary for activation of ABL1 and SAPK. Phosphorylates p53/TP53, FANCD2, NFKBIA, BRCA1, CTIP, nibrin (NBN), TERF1, RAD9 and DCLRE1C. May play a role in vesicle and/or protein transport. Could play a role in T-cell development, gonad and neurological function.,induction:By ionizing radiation.,online information:Ataxia telangiectasia mutated entry,PTM:Acetylation, on DNA damage, is required for activation of the kinase activity, dimer-monomer transition, and subsequent autophosphorylation on Ser-1981. Acetylated in vitro by HTATIP/TIP60.,PTM:Phosphorylated by NUAK1/ARK5. Autophosphorylation on Ser-367, Ser-1983, Ser-1981 correlates with DNA damage-mediated activation of the kinase.,similarity:Belongs to the PI3/PI4-kinase family. ATM subfamily.,similarity:Contains 1 FAT domain.,similarity:Contains 1 FATC domain.,similarity:Contains 1 PI3K/PI4K domain.,subcellular location:Primarily nuclear. Found also in endocytic vesicles in association with beta-adaptin.,subunit:Dimers or tetramers in inactive state. On DNA damage, autophosphorylation dissociates ATM into monomers rendering them catalytically active. Binds DNA ends, p53/TP53, ABL1, BRCA1, NBN/nibrin and TERF1. Part of the BRCA1-associated genome surveillance complex (BASC), which contains BRCA1, MSH2, MSH6, MLH1, ATM, BLM, PMS2 and the RAD50-MRE11-NBN protein complex. This association could be a dynamic process changing throughout the cell cycle and within subnuclear domains. DNA damage promotes association with RAD17. Interacts with EEF1E1; the interaction, induced on DNA damage, upregulates TP53. Interacts with DCLRE1C, MYST1, HTATIP, OBFC2B, ATMIN and CEP164. Interacts with the beta-adaptin complex subunits, AP2B1 AND AP3B2; the interaction occurs in cytoplasmic vesicles.,tissue specificity:Found in pancreas, kidney, skeletal muscle, liver, lung, placenta, brain, heart, spleen, thymus, testis, ovary, small intestine, colon and leukocytes.,
Cellular Localization:
Nucleus . Cytoplasmic vesicle . Cytoplasm, cytoskeleton, microtubule organizing center, centrosome . Primarily nuclear. Found also in endocytic vesicles in association with beta-adaptin. .
Tissue Expression:
Found in pancreas, kidney, skeletal muscle, liver, lung, placenta, brain, heart, spleen, thymus, testis, ovary, small intestine, colon and leukocytes.
Research Areas:
>>Platinum drug resistance ;
>>Homologous recombination ;
>>NF-kappa B signaling pathway ;
>>FoxO signaling pathway ;
>>Cell cycle ;
>>p53 signaling pathway ;
>>Apoptosis ;
>>Cellular senescence ;
>>Shigellosis ;
>>Human papillomavirus infection ;
>>Human T-cell leukemia virus 1 infection ;
>>Human immunodeficiency virus 1 infection ;
>>Transcriptional misregulation in cancer ;
>>MicroRNAs in cancer

商品信息已成功复制,启研竭诚为您服务

广告说明