欢迎来到启研生物[ 会员登录 ] [ 立即注册 ]
400-812-0026

购物车0

您购物车为空,赶紧选购吧!
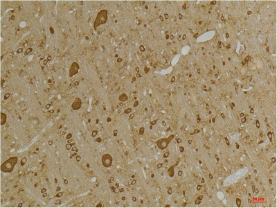
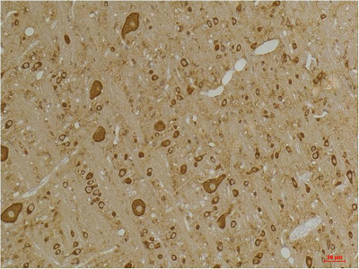
GABA A Receptor γ2 Polyclonal Antibody
GABA A Receptor γ2 Polyclonal Antibody
GABA A Receptor γ2 Polyclonal Antibody
市场价格
经销商客户: ¥214.5
实验室客户: ¥292.5
一键复制商品信息
近期销售量0 用户评价:comment rank 5()
文件与质量管理
浏览历史 [清空]

商品描述

商品属性

Main Information
Target
GABA A Receptor γ2
Host Species
Rabbit
Reactivity
Human, Rat, Mouse
Applications
WB, IHC, IF
MW
55kD (Observed)
Conjugate/Modification
Unmodified
Detailed Information
Recommended Dilution Ratio
WB 1:1000-2000; IHC 1:100-200; IF 1:50-200
Formulation
Liquid in PBS containing 50% glycerol, 0.5% BSA and 0.02% sodium azide.
Specificity
GABA A Receptor γ2 protein(A229) detects endogenous levels of GABA A Receptor γ2
Purification
The antibody was affinity-purified from rabbit antiserum by affinity-chromatography using epitope-specific immunogen.
Storage
-15°C to -25°C/1 year(Do not lower than -25°C)
Concentration
1 mg/ml
MW(Observed)
55kD
Modification
Unmodified
Clonality
Polyclonal
Isotype
IgG
Antigen&Target Information
Immunogen:
Synthetic Peptide of GABA A Receptor γ2
Specificity:
GABA A Receptor γ2 protein(A229) detects endogenous levels of GABA A Receptor γ2
Gene Name:
GABRG2
Protein Name:
Gamma-aminobutyric acid receptor subunit gamma-2 (GABA(A) receptor subunit gamma-2)
Other Name:
Gamma-aminobutyric acid receptor subunit gamma-2 ;
GABA ;
A ;
receptor subunit gamma-2 ;
Database Link:
Organism Gene ID SwissProt
Human 2566; P18507;
Mouse P22723;
Rat P18508;
Background:
This gene encodes a gamma-aminobutyric acid (GABA) receptor. GABA is the major inhibitory neurotransmitter in the mammlian brain, where it acts at GABA-A receptors, which are ligand-gated chloride channels. GABA-A receptors are pentameric, consisting of proteins from several subunit classes: alpha, beta, gamma, delta and rho. Mutations in this gene have been associated with epilepsy and febrile seizures. Multiple transcript variants encoding different isoforms have been identified for this gene. [provided by RefSeq, Jul 2008],
Function:
Disease:Defects in GABRG2 are a cause of severe myoclonic epilepsy in infancy (SMEI) [MIM:607208]; also called Dravet syndrome. SMEI is a rare disorder characterized by generalized tonic, clonic, and tonic-clonic seizures that are initially induced by fever and begin during the first year of life. Later, patients also manifest other seizure types, including absence, myoclonic, and simple and complex partial seizures. Psychomotor development delay is observed around the second year of life. SMEI is considered to be the most severe phenotype within the spectrum of generalized epilepsies with febrile seizures-plus.,Disease:Defects in GABRG2 are the cause of childhood absence epilepsy type 2 (ECA2) [MIM:607681]. ECA2 is a subtype of idiopathic generalized epilepsy (IGE) characterized by an onset at age 6-7 years, frequent absence seizures (several per day) and bilateral, synchronous, symmetric 3-Hz spike waves on EEG. During adolescence, tonic-clonic and myoclonic seizures develop. Some individuals manifest ECA2 occurring in combination with febrile convulsions [MIM:611277].,Disease:Defects in GABRG2 are the cause of familial febrile convulsions type 8 (FEB8) [MIM:611277]. A febrile convulsion is defined as a seizure event in infancy or childhood, usually occurring between 6 months and 6 years of age, associated with fever but without any evidence of intracranial infection or defined pathologic or traumatic cause. Febrile convulsions affect 5-12% of infants and children up to 6 years of age. There is epidemiological evidence that febrile seizures are associated with subsequent afebrile and unprovoked seizures in 2% to 7% of patients.,Disease:Defects in GABRG2 are the cause of generalized epilepsy with febrile seizures plus type 3 (GEFS+3) [MIM:604233]. Generalized epilepsy with febrile seizures-plus refers to a rare autosomal dominant, familial condition with incomplete penetrance and large intrafamilial variability. Patients display febrile seizures persisting sometimes beyond the age of 6 years and/or a variety of afebrile seizure types. GEFS+ is a disease combining febrile seizures, generalized seizures often precipitated by fever at age 6 years or more, and partial seizures, with a variable degree of severity.,Function:GABA, the major inhibitory neurotransmitter in the vertebrate brain, mediates neuronal inhibition by binding to the GABA/benzodiazepine receptor and opening an integral chloride channel.,miscellaneous:This subunit carries the benzodiazepine binding site.,online information:Forbidden fruit - Issue 56 of March 2005,PTM:Palmitoylated by ZDHHC3/GODZ; which may affect presynaptic clustering and/or cell surface stability.,similarity:Belongs to the ligand-gated ionic channel (TC 1.A.9) family.,subunit:Generally pentameric. There are five types of GABA(A) receptor chains: alpha, beta, gamma, delta, and rho. Interacts with GABARAP.,
Cellular Localization:
Cell junction, synapse, postsynaptic cell membrane ; Multi-pass membrane protein . Cell membrane ; Multi-pass membrane protein . Cell projection, dendrite . Cytoplasmic vesicle membrane .
Tissue Expression:
Brain,
Research Areas:
>>Neuroactive ligand-receptor interaction ;
>>Retrograde endocannabinoid signaling ;
>>GABAergic synapse ;
>>Morphine addiction ;
>>Nicotine addiction

商品信息已成功复制,启研竭诚为您服务

广告说明