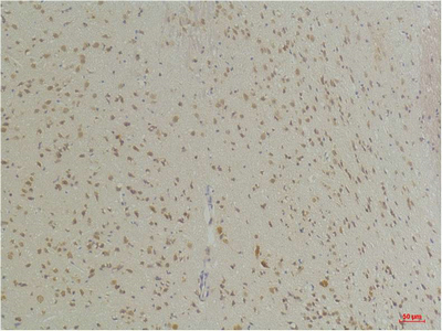
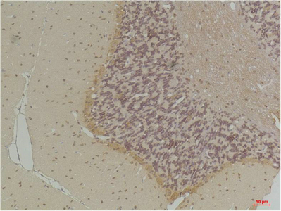
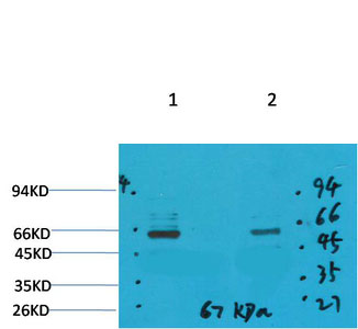
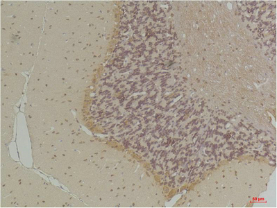
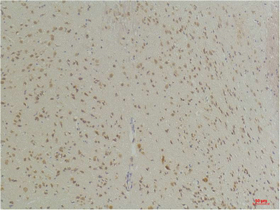
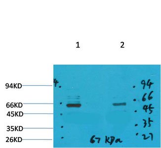
Main InformationTargetGABA T-1Host SpeciesRabbitReactivityHuman, Rat, MouseApplicationsWB, IHC, IFMW67kD (Observed)Conjugate/ModificationUnmodifiedDetailed InformationRecommended Dilution RatioWB 1:1000-2000; IHC 1:100-200; IF 1:50-200FormulationLiquid in PBS containing 50% glycerol, 0.5% BSA and 0.02% sodium azide.SpecificityGABA Transporter 1 protein(A230) detects endogenous levels of GABA Transporter 1PurificationThe antibody was affinity-purified from rabbit antiserum by affinity-chromatography using epitope-specific immunogen.Storage-15°C to -25°C/1 year(Do not lower than -25°C)Concentration1 mg/mlMW(Observed)67kDModificationUnmodifiedClonalityPolyclonalIsotypeIgGAntigen&Target InformationImmunogen:Synthetic Peptide of GABA Transporter 1 AA range: 329-379Specificity:GABA Transporter 1 protein(A230) detects endogenous levels of GABA Transporter 1Gene Name:SLC6A1Protein Name:Sodium- and chloride-dependent GABA transporter 1 (GAT-1) (Solute carrier family 6 member 1)Other Name:SLC6A1 ; GABATR ; GABT1 ; GAT1 ; Sodium- and chloride-dependent GABA transporter 1 ; GAT-1 ; Solute carrier family 6 member 1Background:The SLC6A1 gene encodes a gamma-aminobutyric acid (GABA) transporter, which removes GABA from the synaptic cleft (Hirunsatit et al., 2009 [PubMed 19077666]).[supplied by OMIM, Jul 2009],Function:Domain:The PDZ domain-binding motif is involved in the interaction with MPP5.,Function:Terminates the action of GABA by its high affinity sodium-dependent reuptake into presynaptic terminals.,miscellaneous:This protein is the target of psychomotor stimulants such as amphetamines or cocaine.,similarity:Belongs to the sodium:neurotransmitter symporter (SNF) family.,subcellular location:Localized at the plasma membrane and in a subset of intracellular vesicles. Localized at the presynaptic terminals of interneurons.,subunit:Interacts with MPP5.,Cellular Localization:Cell membrane; Multi-pass membrane protein. Membrane; Multi-pass membrane protein. Cell junction, synapse, presynapse . Localized at the plasma membrane and in a subset of intracellular vesicles. Localized at the presynaptic terminals of interneurons (By similarity). .Tissue Expression:Brain,Research Areas:>>Synaptic vesicle cycle ; >>GABAergic synapse
