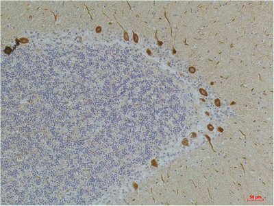
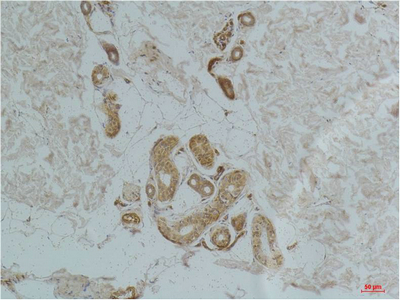
Main InformationTargetGhrelin ReceptorHost SpeciesRabbitReactivityHuman, Rat, MouseApplicationsWB, IHC, IFMW41kD (Observed)Conjugate/ModificationUnmodifiedDetailed InformationRecommended Dilution RatioWB 1:1000-2000; IHC 1:100-200; IF 1:50-200FormulationLiquid in PBS containing 50% glycerol, 0.5% BSA and 0.02% sodium azide.SpecificityGhrelin Receptor protein(A232) detects endogenous levels of Ghrelin ReceptorPurificationThe antibody was affinity-purified from rabbit antiserum by affinity-chromatography using epitope-specific immunogen.Storage-15°C to -25°C/1 year(Do not lower than -25°C)Concentration1 mg/mlMW(Observed)41kDModificationUnmodifiedClonalityPolyclonalIsotypeIgGAntigen&Target InformationImmunogen:Synthetic Peptide of Ghrelin Receptor AA range: 290-370Specificity:Ghrelin Receptor protein(A232) detects endogenous levels of Ghrelin ReceptorGene Name:GHSRProtein Name:Growth hormone secretagogue receptor type 1 (GHS-R) (GH-releasing peptide receptor) (GHRP) (Ghrelin receptor)Other Name:Growth hormone secretagogue receptor type 1 ; GHS-R ; GH-releasing peptide receptor ; GHRP ; Ghrelin receptor ;Background:This gene encodes a member of the G-protein coupled receptor family. The encoded protein may play a role in energy homeostasis and regulation of body weight. Two identified transcript variants are expressed in several tissues and are evolutionary conserved in fish and swine. One transcript, 1a, excises an intron and encodes the functional protein; this protein is the receptor for the Ghrelin ligand and defines a neuroendocrine pathway for growth hormone release. The second transcript (1b) retains the intron and does not function as a receptor for Ghrelin; however, it may function to attenuate activity of isoform 1a. Mutations in this gene are associated with autosomal idiopathic short stature.[provided by RefSeq, Apr 2010],Function:Disease:Defects in GHSR may be a cause of short stature [MIM:604271]. Short stature is defined by a subnormal rate of growth.,Function:Receptor for ghrelin, coupled to G-alpha-11 proteins. Stimulates growth hormone secretion. Binds also other growth hormone releasing peptides (GHRP) (e.g. Met-enkephalin and GHRP-6) as well as non-peptide, low molecular weight secretagogues (e.g. L-692,429, MK-0677, adenosine).,similarity:Belongs to the G-protein coupled receptor 1 family.,tissue specificity:Pituitary and hypothalamus.,Cellular Localization:Cell membrane; Multi-pass membrane protein.Tissue Expression:Pituitary and hypothalamus.Research Areas:>>cAMP signaling pathway ; >>Neuroactive ligand-receptor interaction ; >>Growth hormone synthesis, secretion and action
商品信息已成功复制,启研竭诚为您服务
