欢迎来到启研生物[ 会员登录 ] [ 立即注册 ]
400-812-0026

购物车0

您购物车为空,赶紧选购吧!
Glucocorticoid receptor Polyclonal Antibody
Glucocorticoid receptor Polyclonal Antibody
<
>
Glucocorticoid receptor Polyclonal Antibody
市场价格
经销商客户: ¥214.5
实验室客户: ¥292.5
近期销售量0 用户评价:comment rank 5()
文件与质量管理
浏览历史 [清空]

商品描述

商品属性

Main Information
Target
Glucocorticoid receptor
Host Species
Rabbit
Reactivity
Human, Mouse, Rat
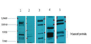
Applications
WB
MW
80-97kD (Observed)
Conjugate/Modification
Unmodified
Detailed Information
Recommended Dilution Ratio
WB 1:1000-3000
Formulation
PBS, pH 7.4, containing 0.5%BSA, 0.02% sodium azide as Preservative and 50% Glycerol.
Specificity
The antibody detects endogenous GR proteins.
Purification
The antibody was affinity-purified from rabbit antiserum by affinity-chromatography using epitope-specific immunogen.
Storage
-15°C to -25°C/1 year(Do not lower than -25°C)
MW(Observed)
80-97kD
Modification
Unmodified
Clonality
Polyclonal
Isotype
IgG
Antigen&Target Information
Immunogen:
Recombinant Protein of Glucocorticoid receptor
Specificity:
The antibody detects endogenous GR proteins.
Gene Name:
NR3C1
Protein Name:
Glucocorticoid receptor
Other Name:
NR3C1 ;
GRL ;
Glucocorticoid receptor ;
GR ;
Nuclear receptor subfamily 3 group C member 1
Database Link:
Organism Gene ID SwissProt
Human 2908; P04150;
Mouse P06537;
Rat 24413; P06536;
Background:
This gene encodes glucocorticoid receptor, which can function both as a transcription factor that binds to glucocorticoid response elements in the promoters of glucocorticoid responsive genes to activate their transcription, and as a regulator of other transcription factors. This receptor is typically found in the cytoplasm, but upon ligand binding, is transported into the nucleus. It is involved in inflammatory responses, cellular proliferation, and differentiation in target tissues. Mutations in this gene are associated with generalized glucocorticoid resistance. Alternative splicing of this gene results in transcript variants encoding either the same or different isoforms. Additional isoforms resulting from the use of alternate in-frame translation initiation sites have also been described, and shown to be functional, displaying diverse cytoplasm-to-nucleus trafficking pat
Function:
Alternative products:At least 4 isoforms, Alpha (shown here), Alpha-B, Beta and Beta-B, are produced by alternative initiation at Met-1 and Met-27. The existence of isoform Alpha and isoform Alpha-B has been proved by mutagenesis. As the sequence environment of the 2 potential ATG initiator codons is the same for the other altrnatively spliced isoforms, alternative initiation of translation could also occur on these transcripts. Additional isoforms seem to exist,Disease:Defects in NR3C1 are a cause of glucocorticoid resistance [MIM:138040]; also known as cortisol resistance. It is a hypertensive, hyperandrogenic disorder characterized by increased serum cortisol concentrations. Inheritance is autosomal dominant.,Domain:Composed of three domains: a modulating N-terminal domain, a DNA-binding domain and a C-terminal steroid-binding domain.,Function:Receptor for glucocorticoids (GC). Has a dual mode of action: as a transcription factor that binds to glucocorticoid response elements (GRE) and as a modulator of other transcription factors. Affects inflammatory responses, cellular proliferation and differentiation in target tissues. Could act as a coactivator for STAT5-dependent transcription upon growth hormone (GH) stimulation and could reveal an essential role of hepatic GR in the control of body growth. Involved in chromatin remodeling. Plays a significant role in transactivation. Involved in nuclear translocation.,miscellaneous:Can up- or down-modulate aggregation and nuclear localization of expanded polyglutamine polypeptides derived from AR and HD through specific regulation of gene expression. Aggregation and nuclear localization of expanded polyglutamine proteins are regulated cellular processes that can be modulated by this receptor, a well-characterized transcriptional regulator.,miscellaneous:High constitutive expression of isoform beta by neutrophils may provide a mechanism by which these cells escape glucocorticoid-induced cell death. Up-regulation by proinflammatory cytokines such as IL8 further enhances their survival in the presence of glucocorticoids during inflammation.,online information:Glucocorticoid receptor entry,polymorphism:Carriers of the 22-Glu-Lys-23 allele are relatively more resistant to the effects of GCs with respect to the sensitivity of the adrenal feedback mechanism than non-carriers, resulting in a better metabolic health profile. Carriers have a better survival than non-carriers, as well as lower serum CRP levels. The 22-Glu-Lys-23 polymorphism is associated with a sex-specific, beneficial body composition at young-adult age, as well as greater muscle strength in males.,PTM:Increased proteasome-mediated degradation in response to glucocorticoids.,PTM:Phosphorylated in the absence of hormone; becomes hyperphosphorylated in the presence of glucocorticoid. The Ser-203-phosphorylated form is mainly cytoplasmic, and the Ser-211-phosphorylated form is nuclear. Transcriptional activity correlates with the amount of phosphorylation at Ser-211.,PTM:Sumoylated; this reduces transcription transactivation.,PTM:Ubiquitinated; restricts glucocorticoid-mediated transcriptional signaling.,similarity:Belongs to the nuclear hormone receptor family. NR3 subfamily.,similarity:Contains 1 nuclear receptor DNA-binding domain.,subcellular location:Cytoplasmic in the absence of ligand, nuclear after ligand-binding.,subunit:Heteromultimeric cytoplasmic complex with HSP90, HSP70, and FKBP5 or another immunophilin, or the immunophilin homolog PPP5C. Directly interacts with UNC45A. Upon ligand binding FKBP5 dissociates from the complex and FKBP4 takes its place, thereby linking the complex to dynein and mediating transport to the nucleus, where the complex dissociates (By similarity). Binds to DNA as a homodimer, and as a heterodimer with NR3C2 or the retinoid X receptor. Binds STAT5A and STAT5B homodimers and heterodimers. Interacts with NRIP1, POU2F1, POU2F2 and TRIM28. Interacts with NCOA1, NCOA3, SMARCA4, SMARCC1, SMARCD1, and SMARCE1 (By similarity). Interacts with several coactivator complexes, including the SMARCA4 complex, CREBBP/EP300, TADA2L and p160 coactivators such as NCOA2 and NCOA6. Interaction with BAG1 inhibits transactivation. Interacts with HEXIM1, PELP1 and TGFB1I1.,tissue specificity:Widely expressed. In the heart, detected in left and right atria, left and right ventricles, aorta, apex, intraventricular septum, and atrioventricular node as well as whole adult and fetal heart.,
Cellular Localization:
[Isoform Alpha]: Cytoplasm . Nucleus . Mitochondrion . Cytoplasm, cytoskeleton, spindle . Cytoplasm, cytoskeleton, microtubule organizing center, centrosome . After ligand activation, translocates from the cytoplasm to the nucleus. In the presence of NR1D1 shows a time-dependent subcellular localization, localizing to the cytoplasm at ZT8 and to the nucleus at ZT20 (By similarity). Lacks this diurnal pattern of localization in the absence of NR1D1, localizing to both nucleus and the cytoplasm at ZT8 and ZT20 (By similarity). .; [Isoform Beta]: Nucleus . Cytoplasm . Expressed predominantly in the nucleus with some expression also detected in the cytoplasm. .; [Isoform Alpha-B]: Nucleus . Cytoplasm . After ligand activation, translocates from the cytoplasm to the nucleus. .
Tissue Expression:
Widely expressed including bone, stomach, lung, liver, colon, breast, ovary, pancreas and kidney (PubMed:25847991). In the heart, detected in left and right atria, left and right ventricles, aorta, apex, intraventricular septum, and atrioventricular node as well as whole adult and fetal heart (PubMed:10902803). ; [Isoform Beta]: Widely expressed including brain, bone marrow, thymus, spleen, liver, kidney, pancreas, lung, fat, skeletal muscle, heart, placenta and blood leukocytes. ; [Isoform Alpha-2]: Widely expressed.
Research Areas:
>>Neuroactive ligand-receptor interaction
广告说明