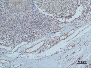
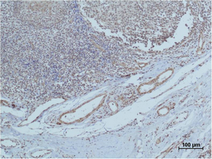
Main InformationTargetHIF-1βHost SpeciesRabbitReactivityHuman, Mouse, RatApplicationsWB, IHC, IFMW87kD (Observed)Conjugate/ModificationUnmodifiedDetailed InformationRecommended Dilution RatioWB 1:1000-2000; IHC 1:200-500; IF 1:50-200FormulationPBS, pH 7.4, containing 0.5%BSA, 0.02% sodium azide as Preservative and 50% Glycerol.SpecificityThe antibody detects endogenous HIF-1β protein.PurificationThe antibody was affinity-purified from rabbit antiserum by affinity-chromatography using epitope-specific immunogen.Storage-15°C to -25°C/1 year(Do not lower than -25°C)MW(Observed)87kDModificationUnmodifiedClonalityPolyclonalIsotypeIgGAntigen&Target InformationImmunogen:Recombinant Protein of HIF-1βSpecificity:The antibody detects endogenous HIF-1β protein.Gene Name:ARNTProtein Name:Aryl hydrocarbon receptor nuclear translocatorOther Name:ARNT ; BHLHE2 ; Aryl hydrocarbon receptor nuclear translocator ; ARNT protein ; Class E basic helix-loop-helix protein 2 ; bHLHe2 ; Dioxin receptor, nuclear translocator ; Hypoxia-inducible factor 1-beta ; HIF-1-beta ; HIF1-betaBackground:This gene encodes a protein containing a basic helix-loop-helix domain and two characteristic PAS domains along with a PAC domain. The encoded protein binds to ligand-bound aryl hydrocarbon receptor and aids in the movement of this complex to the nucleus, where it promotes the expression of genes involved in xenobiotic metabolism. This protein is also a co-factor for transcriptional regulation by hypoxia-inducible factor 1. Chromosomal translocation of this locus with the ETV6 (ets variant 6) gene on chromosome 12 have been described in leukemias. Alternative splicing results in multiple transcript variants. [provided by RefSeq, Oct 2013],Function:Function:Required for activity of the Ah (dioxin) receptor. This protein is required for the ligand-binding subunit to translocate from the cytosol to the nucleus after ligand binding. The complex then initiates transcription of genes involved in the activation of PAH procarcinogens. The heterodimer with HIF1A or EPAS1/HIF2A functions as a transcriptional regulator of the adaptive response to hypoxia.,similarity:Contains 1 basic helix-loop-helix (bHLH) domain.,similarity:Contains 1 PAC (PAS-associated C-terminal) domain.,similarity:Contains 2 PAS (PER-ARNT-SIM) domains.,subunit:Efficient DNA binding requires dimerization with another bHLH protein. Forms a heterodimer with AHR, AHRR, HIF1A and EPAS1/HIF2A as well as with other bHLH proteins. Interacts with TACC3 (By similarity). Interacts with NOCA7.,Cellular Localization:Nucleus.Tissue Expression:Aorta endothelial cell,Brain,Kidney,Thalamus,Uterus,Research Areas:>>HIF-1 signaling pathway ; >>Cushing syndrome ; >>Pathways in cancer ; >>Chemical carcinogenesis - receptor activation ; >>Chemical carcinogenesis - reactive oxygen species ; >>Renal cell carcinoma
