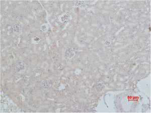
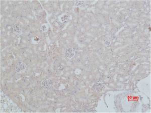
Main InformationTargetHSC70Host SpeciesRabbitReactivityHuman, Mouse, RatApplicationsWB, IHC, IFMW70-72kD (Observed)Conjugate/ModificationUnmodifiedDetailed InformationRecommended Dilution RatioWB 1:500-1:2000; IHC:1:50-300; IF 1:50-200FormulationPBS, pH 7.4, containing 0.5%BSA, 0.02% sodium azide as Preservative and 50% Glycerol.SpecificityThe antibody detects endogenous HSC 70 protein.PurificationThe antibody was affinity-purified from rabbit antiserum by affinity-chromatography using epitope-specific immunogen.Storage-15°C to -25°C/1 year(Do not lower than -25°C)MW(Observed)70-72kDModificationUnmodifiedClonalityPolyclonalIsotypeIgGAntigen&Target InformationImmunogen:Synthesized peptide derived from the Internal region of human HSC 70. AA range: 588-638Specificity:The antibody detects endogenous HSC 70 protein.Gene Name:HSPA8Protein Name:Heat shock cognate 71 kDa proteinOther Name:HSPA8 ; HSC70 ; HSP73 ; HSPA10 ; Heat shock cognate 71 kDa protein ; Heat shock 70 kDa protein 8Background:This gene encodes a member of the heat shock protein 70 family, which contains both heat-inducible and constitutively expressed members. This protein belongs to the latter group, which are also referred to as heat-shock cognate proteins. It functions as a chaperone, and binds to nascent polypeptides to facilitate correct folding. It also functions as an ATPase in the disassembly of clathrin-coated vesicles during transport of membrane components through the cell. Alternatively spliced transcript variants encoding different isoforms have been found for this gene. [provided by RefSeq, Aug 2011],Function:Function:Chaperone. Isoform 2 may function as an endogenous inhibitory regulator of HSC70 by competing the co-chaperones.,induction:Constitutively synthesized.,PTM:Phosphorylated upon DNA damage, probably by ATM or ATR.,similarity:Belongs to the heat shock protein 70 family.,subcellular location:Translocates rapidly from the cytoplasm to the nuclei, and especially to the nucleoli, upon heat shock. Identified by mass spectrometry in melanosome fractions from stage I to stage IV.,subunit:Interacts with HSPH1/HSP105. Interacts with IRAK1BP1 (By similarity). Interacts with PACRG and TSC2. Interacts with SV40 VP1.,tissue specificity:Ubiquitous.,Cellular Localization:Cytoplasm. Melanosome. Nucleus, nucleolus. Cell membrane. Localized in cytoplasmic mRNP granules containing untranslated mRNAs. Translocates rapidly from the cytoplasm to the nuclei, and especially to the nucleoli, upon heat shock.Tissue Expression:Ubiquitous.Research Areas:>>Spliceosome ; >>MAPK signaling pathway ; >>Protein processing in endoplasmic reticulum ; >>Endocytosis ; >>Longevity regulating pathway - multiple species ; >>Antigen processing and presentation ; >>Estrogen signaling pathway ; >>Prion disease ; >>Legionellosis ; >>Toxoplasmosis ; >>Measles ; >>Lipid and atherosclerosis
商品信息已成功复制,启研竭诚为您服务
