欢迎来到启研生物[ 会员登录 ] [ 立即注册 ]
400-812-0026

购物车0

您购物车为空,赶紧选购吧!
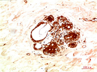
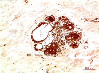
JAK2 Rabbit Polyclonal Antibody
JAK2 Rabbit Polyclonal Antibody
<
>
JAK2 Rabbit Polyclonal Antibody
市场价格
经销商客户: ¥214.5
实验室客户: ¥292.5
一键复制商品信息
近期销售量0 用户评价:comment rank 5()
文件与质量管理
浏览历史 [清空]

商品描述

商品属性

Main Information
Target
JAK2
Host Species
Rabbit
Reactivity
Human, Mouse, Rat
Applications
IHC, IF
MW
120kD (Observed)
Conjugate/Modification
Unmodified
Detailed Information
Recommended Dilution Ratio
IHC 1:50-300; IF 1:50-200
Formulation
Liquid in PBS containing 50% glycerol, 0.5% BSA and 0.02% sodium azide.
Specificity
The antibody detects endogenous JAK2 protein
Purification
The antibody was affinity-purified from rabbit antiserum by affinity-chromatography using epitope-specific immunogen.
Storage
-15°C to -25°C/1 year(Do not lower than -25°C)
Concentration
1 mg/ml
MW(Observed)
120kD
Modification
Unmodified
Clonality
Polyclonal
Isotype
IgG
Antigen&Target Information
Immunogen:
Recombinant Protein of JAK2
Specificity:
The antibody detects endogenous JAK2 protein
Gene Name:
JAK2
Protein Name:
Tyrosine-protein kinase JAK2 (Janus kinase 2) (JAK-2)
Other Name:
Tyrosine-protein kinase JAK2 ;
Janus kinase 2 ;
JAK-2 ;
Database Link:
Organism Gene ID SwissProt
Human 3717; O60674;
Mouse Q62120;
Rat Q62689;
Background:
This gene product is a protein tyrosine kinase involved in a specific subset of cytokine receptor signaling pathways. It has been found to be constituitively associated with the prolactin receptor and is required for responses to gamma interferon. Mice that do not express an active protein for this gene exhibit embryonic lethality associated with the absence of definitive erythropoiesis. [provided by RefSeq, Jul 2008],
Function:
Catalytic activity:ATP + a [protein]-L-tyrosine = ADP + a [protein]-L-tyrosine phosphate.,Disease:Chromosomal aberrations involving JAK2 are found in both chronic and acute forms of eosinophilic, lymphoblastic and myeloid leukemia. Translocation t(8;9)(p22;p24) with PCM1 links the protein kinase domain of JAK2 to the major portion of PCM1. Translocation t(9;12)(p24;p13) with ETV6.,Disease:Defects in JAK2 are a cause of acute myelogenous leukemia (AML) [MIM:601626]. AML is a malignant disease in which hematopoietic precursors are arrested in an early stage of development.,Disease:Defects in JAK2 are a cause of susceptibility to Budd-Chiari syndrome [MIM:600880]. Budd-Chiari syndrome is a spectrum of disease states, including anatomic abnormalities and hypercoagulable disorders, resulting in hepatic venous outflow occlusion. Clinical manifestations observed in the majority of patients include hepatomegaly, right upper quadrant pain, and abdominal ascites.,Disease:Defects in JAK2 are associated with familial myelofibrosis [MIM:254450]. Myelofibrosis with myeloid metaplasia is a myeloproliferative disease with annual incidence of 0.5-1.5 cases per 100,000 individuals and age at diagnosis around 60 (an increased prevalence is noted in Ashkenazi Jews). Clinical manifestations depend on the type of blood cell affected and may include anemia, pallor, splenomegaly, hypermetabolic state, petechiae, ecchymosis, bleeding, lymphadenopathy, hepatomegaly, portal hypertension.,Disease:Defects in JAK2 are associated with polycythemia vera (PV) [MIM:263300]. PV, the most common form of primary polycythemia, is caused by somatic mutation in a single hematopoietic stem cell leading to clonal hematopoiesis. PV is a myeloproliferative disorder characterized predominantly by erythroid hyperplasia, but also by myeloid leukocytosis, thrombocytosis, and splenomegaly. Familial cases of PV are very rare and usually manifest in elderly patients.,Disease:Defects in JAK2 gene may be a cause of essential thrombocythemia (ET) [MIM:187950]. ET is characterized by elevated platelet levels due to sustained proliferation of megakaryocytes, and frequently lead to thrombotic and haemorrhagic complications.,Domain:Possesses two phosphotransferase domains. The second one probably contains the catalytic domain (By similarity), while the presence of slight differences suggest a different role for domain 1.,Function:Plays a role in leptin signaling and control of body weight (By similarity). Tyrosine kinase of the non-receptor type, involved in interleukin-3 and probably interleukin-23 signal transduction.,PTM:Leptin promotes phosphorylation on tyrosine residues, including phosphorylation on Tyr-813.,similarity:Belongs to the protein kinase superfamily. Tyr protein kinase family.,similarity:Belongs to the protein kinase superfamily. Tyr protein kinase family. JAK subfamily.,similarity:Contains 1 FERM domain.,similarity:Contains 1 protein kinase domain.,similarity:Contains 1 SH2 domain.,subcellular location:Wholly intracellular, possibly membrane associated.,subunit:Interacts with SIRPA and SH2B1 (By similarity). Interacts with IL23R, SKB1 and STAM2.,tissue specificity:Expressed in blood, bone marrow and lymph node.,
Cellular Localization:
Endomembrane system ; Peripheral membrane protein . Cytoplasm . Nucleus .
Tissue Expression:
Ubiquitously expressed throughout most tissues.
Research Areas:
>>EGFR tyrosine kinase inhibitor resistance ;
>>Chemokine signaling pathway ;
>>PI3K-Akt signaling pathway ;
>>Necroptosis ;
>>Signaling pathways regulating pluripotency of stem cells ;
>>JAK-STAT signaling pathway ;
>>Th1 and Th2 cell differentiation ;
>>Th17 cell differentiation ;
>>Cholinergic synapse ;
>>Prolactin signaling pathway ;
>>Adipocytokine signaling pathway ;
>>AGE-RAGE signaling pathway in diabetic complications ;
>>Growth hormone synthesis, secretion and action ;
>>Leishmaniasis ;
>>Toxoplasmosis ;
>>Tuberculosis ;
>>Hepatitis B ;
>>Influenza A ;
>>Kaposi sarcoma-associated herpesvirus infection ;
>>Herpes simplex virus 1 infection ;
>>Pathways in cancer ;
>>Chemical carcinogenesis - receptor activation ;
>>PD-L1 expression and PD-1 checkpoint pathway in cancer ;
>>Lipid and atherosclerosis

商品信息已成功复制,启研竭诚为您服务

广告说明