欢迎来到启研生物[ 会员登录 ] [ 立即注册 ]
400-812-0026

购物车0

您购物车为空,赶紧选购吧!
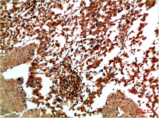
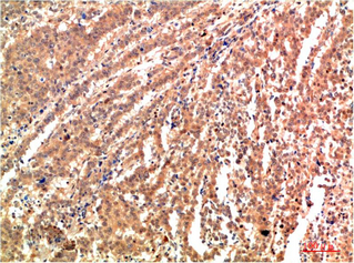
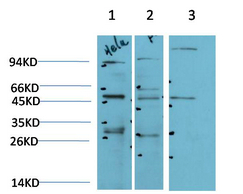
JNK2 Rabbit Polyclonal Antibody
JNK2 Rabbit Polyclonal Antibody
JNK2 Rabbit Polyclonal Antibody
市场价格
经销商客户: ¥214.5
实验室客户: ¥292.5
一键复制商品信息
近期销售量0 用户评价:comment rank 5()
文件与质量管理
浏览历史 [清空]

商品描述

商品属性

Main Information
Target
JNK2
Host Species
Rabbit
Reactivity
Human, Mouse, Rat
Applications
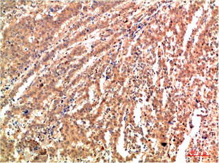
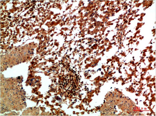
WB, IHC, IF
MW
46,54kD (Observed)
Conjugate/Modification
Unmodified
Detailed Information
Recommended Dilution Ratio
WB 1:500-2000; IHC 1:50-300; IF 1:50-200
Formulation
Liquid in PBS containing 50% glycerol, 0.5% BSA and 0.02% sodium azide.
Specificity
The antibody detects endogenous JNK2 protein
Purification
The antibody was affinity-purified from rabbit antiserum by affinity-chromatography using epitope-specific immunogen.
Storage
-15°C to -25°C/1 year(Do not lower than -25°C)
Concentration
1 mg/ml
MW(Observed)
46,54kD
Modification
Unmodified
Clonality
Polyclonal
Isotype
IgG
Antigen&Target Information
Immunogen:
Recombinant Protein of JNK2
Specificity:
The antibody detects endogenous JNK2 protein
Gene Name:
MAPK9 JNK2 PRKM9 SAPK1A
Protein Name:
Mitogen-activated protein kinase 9 (MAP kinase 9) (MAPK 9) (JNK-55) (Stress-activated protein kinase 1a) (SAPK1a) (Stress-activated protein kinase JNK2) (c-Jun N-terminal kinase 2)
Other Name:
Mitogen-activated protein kinase 9 ;
MAP kinase 9 ;
MAPK 9 ;
JNK-55 ;
Stress-activated protein kinase 1a ;
SAPK1a ;
Stress-activated protein kinase JNK2 ;
c-Jun N-terminal kinase 2 ;
Database Link:
Organism Gene ID SwissProt
Human 5601; P45984;
Mouse Q9WTU6;
Rat P49186;
Background:
The protein encoded by this gene is a member of the MAP kinase family. MAP kinases act as an integration point for multiple biochemical signals, and are involved in a wide variety of cellular processes such as proliferation, differentiation, transcription regulation and development. This kinase targets specific transcription factors, and thus mediates immediate-early gene expression in response to various cell stimuli. It is most closely related to MAPK8, both of which are involved in UV radiation induced apoptosis, thought to be related to the cytochrome c-mediated cell death pathway. This gene and MAPK8 are also known as c-Jun N-terminal kinases. This kinase blocks the ubiquitination of tumor suppressor p53, and thus it increases the stability of p53 in nonstressed cells. Studies of this gene's mouse counterpart suggest a key role in T-cell differentiation. Several alternative
Function:
Catalytic activity:ATP + a protein = ADP + a phosphoprotein.,cofactor:Magnesium.,Domain:The TXY motif contains the threonine and tyrosine residues whose phosphorylation activates the MAP kinases.,enzyme regulation:Activated by threonine and tyrosine phosphorylation by either of two dual specificity kinases, MAP2K4 and MAP2K7. Inhibited by dual specificity phosphatases, such as DUSP1.,Function:JNK2 isoforms display different binding patterns: alpha-1 and alpha-2 preferentially bind to c-Jun, whereas beta-1 and beta-2 bind to ATF2. However, there is no correlation between binding and phosphorylation, which is achieved at about the same efficiency by all isoforms. JUNB is not a substrate for JNK2 alpha-2, and JUND binds only weakly to it.,Function:Responds to activation by environmental stress and pro-inflammatory cytokines by phosphorylating a number of transcription factors, primarily components of AP-1 such as c-Jun and ATF2 and thus regulates AP-1 transcriptional activity. In T-cells, JNK1 and JNK2 are required for polarized differentiation of T-helper cells into Th1 cells.,PTM:Dually phosphorylated on Thr-183 and Tyr-185, which activates the enzyme. Autophosphorylated in vitro.,similarity:Belongs to the protein kinase superfamily. CMGC Ser/Thr protein kinase family. MAP kinase subfamily.,similarity:Contains 1 protein kinase domain.,subunit:Binds to at least four scaffolding proteins, MAPK8IP1/JIP-1, MAPK8IP2/JIP-2, MAPK8IP3/JIP-3/JSAP1 and SPAG9/MAPK8IP4/JIP-4. These proteins also bind other components of the JNK signaling pathway. Interacts with NFATC4.,
Cellular Localization:
Cytoplasm . Nucleus . Colocalizes with POU5F1 in the nucleus. .
Tissue Expression:
Brain,Skin,
Research Areas:
>>Endocrine resistance ;
>>MAPK signaling pathway ;
>>ErbB signaling pathway ;
>>Ras signaling pathway ;
>>cAMP signaling pathway ;
>>FoxO signaling pathway ;
>>Sphingolipid signaling pathway ;
>>Mitophagy - animal ;
>>Autophagy - animal ;
>>Protein processing in endoplasmic reticulum ;
>>Apoptosis ;
>>Apoptosis - multiple species ;
>>Necroptosis ;
>>Wnt signaling pathway ;
>>Osteoclast differentiation ;
>>Focal adhesion ;
>>Tight junction ;
>>Toll-like receptor signaling pathway ;
>>NOD-like receptor signaling pathway ;
>>RIG-I-like receptor signaling pathway ;
>>C-type lectin receptor signaling pathway ;
>>IL-17 signaling pathway ;
>>Th1 and Th2 cell differentiation ;
>>Th17 cell differentiation ;
>>T cell receptor signaling pathway ;
>>Fc epsilon RI signaling pathway ;
>>TNF signaling pathway ;
>>Neurotrophin signaling pathway ;
>>Retrograde endocannabinoid signaling ;
>>Dopaminergic synapse ;
>>Inflammatory mediator regulation of TRP channels ;
>>Insulin signaling pathway ;
>>GnRH signaling pathway ;
>>Progesterone-mediated oocyte maturation ;
>>Prolactin signaling pathway ;
>>Adipocytokine signaling pathway ;
>>Relaxin signaling pathway ;
>>Type II diabetes mellitus ;
>>Insulin resistance ;
>>Non-alcoholic fatty liver disease ;
>>AGE-RAGE signaling pathway in diabetic complications ;
>>Growth hormone synthesis, secretion and action ;
>>Alcoholic liver disease ;
>>Alzheimer disease ;
>>Parkinson disease ;
>>Huntington disease ;
>>Spinocerebellar ataxia ;
>>Prion disease ;
>>Pathways of neurodegeneration - multiple diseases ;
>>Epithelial cell signaling in Helicobacter pylori infection ;
>>Pathogenic Escherichia coli infection ;
>>Shigellosis ;
>>Salmonella infection ;
>>Pertussis ;
>>Yersinia infection ;
>>Chagas disease ;
>>Toxoplasmosis ;
>>Tuberculosis ;
>>Hepatitis B ;
>>Measles ;
>>Human T-cell leukemia virus 1 infection ;
>>Kaposi sarcoma-associated herpesvirus infection ;
>>Epstein-Barr virus infection ;
>>Human immunodeficiency virus 1 infection ;
>>Coronavirus disease - COVID-19 ;
>>Pathways in cancer ;
>>Chemical carcinogenesis - reactive oxygen species ;
>>Colorectal cancer ;
>>Pancreatic cancer ;
>>Choline metabolism in cancer ;
>>Diabetic cardiomyopathy ;
>>Lipid and atherosclerosis ;
>>Fluid shear stress and atherosclerosis

商品信息已成功复制,启研竭诚为您服务

广告说明