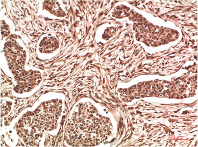
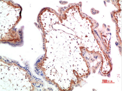
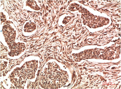
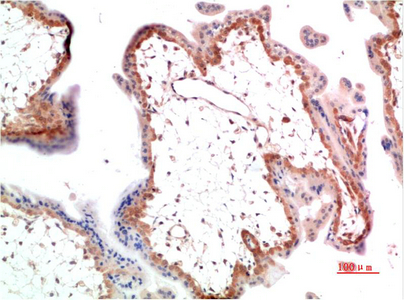
Main InformationTargetNM23-H1Host SpeciesRabbitReactivityHuman, Rat, MouseApplicationsIHC, IFMW17kD (Observed)Conjugate/ModificationUnmodifiedDetailed InformationRecommended Dilution RatioIHC 1:100-200; IF 1:50-200FormulationLiquid in PBS containing 50% glycerol, 0.5% BSA and 0.02% sodium azide.SpecificityNM23A protein detects endogenous levels of NME1PurificationThe antibody was affinity-purified from rabbit antiserum by affinity-chromatography using epitope-specific immunogen.Storage-15°C to -25°C/1 year(Do not lower than -25°C)Concentration1 mg/mlMW(Observed)17kDModificationUnmodifiedClonalityPolyclonalIsotypeIgGAntigen&Target InformationImmunogen:Recombinant Protein of NM23A of NME1Specificity:NM23A protein detects endogenous levels of NME1Gene Name:NME1Protein Name:NME1Other Name:NME1Background:This gene (NME1) was identified because of its reduced mRNA transcript levels in highly metastatic cells. Nucleoside diphosphate kinase (NDK) exists as a hexamer composed of 'A' (encoded by this gene) and 'B' (encoded by NME2) isoforms. Mutations in this gene have been identified in aggressive neuroblastomas. Two transcript variants encoding different isoforms have been found for this gene. Co-transcription of this gene and the neighboring downstream gene (NME2) generates naturally-occurring transcripts (NME1-NME2), which encodes a fusion protein comprised of sequence sharing identity with each individual gene product. [provided by RefSeq, Jul 2008],Function:Catalytic activity:ATP + nucleoside diphosphate = ADP + nucleoside triphosphate.,cofactor:Magnesium.,Disease:This protein is found in reduced amount in tumor cells of high metastatic potential.,Disease:This protein is found in reduced amount in tumor cells of high metastatic potential. Somatic mutations of NME1 are found in neuroblastoma. Increased NME1 in neuroblastoma is correlated with features of the disease that are associated with aggressive tumors. May therefore have distinct if not opposite roles in different tumors.,enzyme regulation:Autophosphorylation at His-118 increases serine/threonine protein kinase activity of the enzyme. Interaction with the SET complex inhibits exonuclease activity.,Function:Major role in the synthesis of nucleoside triphosphates other than ATP. Negatively regulates Rho activity by interacting with AKAP13/LBC. Acts as a transcriptional activator of the c-Myc gene; binds DNA non-specifically (PubMed:8392752).,Function:Major role in the synthesis of nucleoside triphosphates other than ATP. Possesses nucleoside-diphosphate kinase, serine/threonine-specific protein kinase, geranyl and farnesyl pyrophosphate kinase, histidine protein kinase and 3'-5' exonuclease activities. Involved in cell proliferation, differentiation and development, signal transduction, G protein-coupled receptor endocytosis, and gene expression. Required for neural development including neural patterning and cell fate determination. Has tumor metastasis-suppressive capacity.,PTM:The N-terminus is blocked.,similarity:Belongs to the NDK family.,subcellular location:Cell-cycle dependent nuclear localization which can be induced by interaction with Epstein-barr viral proteins or by degradation of the SET complex by GzmA.,subcellular location:Isoform 2 is mainly cytoplasmic and isoform 1 and isoform 2 are excluded from the nucleolus.,subunit:Hexamer of two different chains: A and B (A6, A5B, A4B2, A3B3, A2B4, AB5, B6). Interacts with CAPN8 (By similarity). Interacts with AKAP13.,subunit:Hexamer of two different chains: A and B (A6, A5B, A4B2, A3B3, A2B4, AB5, B6). Interacts with SET and PRUNE.,tissue specificity:Isoform 1 is expressed in heart, brain, placenta, lung, liver, skeletal muscle, pancreas, spleen and thymus. Expressed in lung carcinoma cell lines but not in normal lung tissues. Isoform 2 is ubiquitously expressed and its expression is also related to tumor differentiation. Isoform 3 is ubiquitously expressed.,tissue specificity:Ubiquitously expressed.,Cellular Localization:Cytoplasm . Nucleus . Cell-cycle dependent nuclear localization which can be induced by interaction with Epstein-barr viral proteins or by degradation of the SET complex by GzmA.Tissue Expression:Isoform 1 is expressed in heart, brain, placenta, lung, liver, skeletal muscle, pancreas, spleen and thymus. Expressed in lung carcinoma cell lines but not in normal lung tissues. Isoform 2 is ubiquitously expressed and its expression is also related to tumor differentiation.Research Areas:>>Purine metabolism ; >>Pyrimidine metabolism ; >>Drug metabolism - other enzymes ; >>Metabolic pathways ; >>Nucleotide metabolism ; >>Biosynthesis of cofactors
商品信息已成功复制,启研竭诚为您服务
