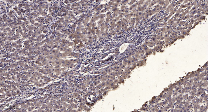
Main InformationTargetTubulin αHost SpeciesMouseReactivityHuman, Rat, MouseApplicationsWB, IHC, IF, IPConjugate/ModificationHRPDetailed InformationRecommended Dilution RatioOptimal working dilutions should be determined experimentally by the investigator; Suggested starting dilutions are as follows:WB 1:5000-10000; IHC 1:50-300.FormulationLiquid in PBS, pH 7.4, containing 0.02% sodium azide as preservative and 50% Glycerol.Specificityα-tubulin Monoclonal Antibody(8F11) HRP Conjugated, specially designed for your Western blot analysis.PurificationThe antibody was affinity-purified from mouse ascites by affinity-chromatography using specific immunogen.StorageStable for one year at -15°C to -25°C from date of shipment. For maximum recovery of product, centrifuge the original vial after thawing and prior to removing the cap. Aliquot to avoid repeated freezing and thawing.Concentration1mg/mlModificationUnmodifiedConjugateHRPClonalityMonoclonalClone Number8F11IsotypeIgGAntigen&Target InformationSpecificity:α-tubulin Monoclonal Antibody(8F11) HRP Conjugated, specially designed for your Western blot analysis.Gene Name:TUBA1AProtein Name:Tubulin alpha-1A chainOther Name:TUBA1ABackground:Microtubules of the eukaryotic cytoskeleton perform essential and diverse functions and are composed of a heterodimer of alpha and beta tubulins. The genes encoding these microtubule constituents belong to the tubulin superfamily, which is composed of six distinct families. Genes from the alpha, beta and gamma tubulin families are found in all eukaryotes. The alpha and beta tubulins represent the major components of microtubules, while gamma tubulin plays a critical role in the nucleation of microtubule assembly. There are multiple alpha and beta tubulin genes, which are highly conserved among species. This gene encodes alpha tubulin and is highly similar to the mouse and rat Tuba1 genes. Northern blotting studies have shown that the gene expression is predominantly found in morphologically differentiated neurologic cells. This gene is one of three alpha-tubulin genes in a cluster on chromosome 12q.Function:Disease:Defects in TUBA1A are the cause of lissencephaly type 3 (LIS3) [MIM:611603]. LIS is characterized by a smooth brain surface due to the absence (agyria) or reduction (pachygyria) of surface convolutions. It is often associated with psychomotor retardation and seizures. LIS3 features include agyria or pachygyria or laminar heterotopia, severe mental retardation, motor delay, variable presence of seizures, and abnormalities of corpus callosum, hippocampus, cerebellar vermis and brainstem.,Function:Tubulin is the major constituent of microtubules. It binds two moles of GTP, one at an exchangeable site on the beta chain and one at a non-exchangeable site on the alpha-chain.,PTM:Undergoes a tyrosination/detyrosination cycle, the cyclic removal and re-addition of a C-terminal tyrosine residue by the enzymes tubulin tyrosine carboxypeptidase (TTCP) and tubulin tyrosine ligase (TTL), respectively.,similarity:Belongs to the tubulin family.,subunit:Dimer of alpha and beta chains.,tissue specificity:Expressed at a high level in fetal brain.,Cellular Localization:Cytoplasm, cytoskeleton.Tissue Expression:Expressed at a high level in fetal brain.Research Areas:>>Phagosome ; >>Apoptosis ; >>Tight junction ; >>Gap junction ; >>Alzheimer disease ; >>Parkinson disease ; >>Amyotrophic lateral sclerosis ; >>Huntington disease ; >>Prion disease ; >>Pathways of neurodegeneration - multiple diseases ; >>Pathogenic Escherichia coli infection ; >>Salmonella infection
商品信息已成功复制,启研竭诚为您服务
