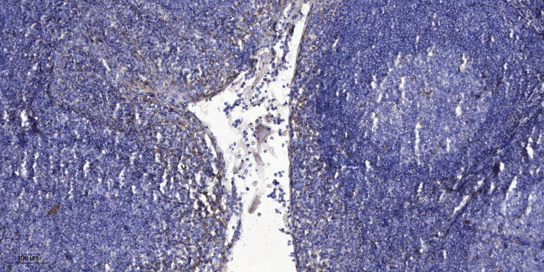
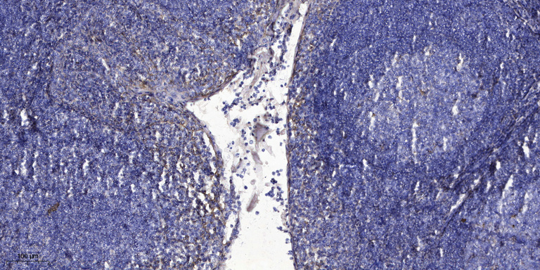
Main InformationTargetProkineticin-1Host SpeciesRabbitReactivityHuman, Mouse, RatApplicationsIHC, ELISAConjugate/ModificationUnmodifiedDetailed InformationRecommended Dilution RatioIHC 1:50-200; ELISA(peptide)1:5000-20000FormulationLiquid in PBS containing 50% glycerol, 0.5% BSA and 0.02% sodium azide.SpecificityThis antibody detects endogenous levels of human Prokineticin-1PurificationThe antibody was affinity-purified from rabbit antiserum by affinity-chromatography using epitope-specific immunogen.Storage-15°C to -25°C/1 year(Do not lower than -25°C)Concentration1 mg/mlModificationUnmodifiedClonalityPolyclonalIsotypeIgGAntigen&Target InformationImmunogen:Synthesized peptide derived from human Prokineticin-1 AA range: 1-50Specificity:This antibody detects endogenous levels of human Prokineticin-1Gene Name:PROK1 UNQ600/PRO1186Protein Name:Prokineticin-1Other Name:Prokineticin-1 ; Endocrine-gland-derived vascular endothelial growth factor ; EG-VEGF ; Mambakine ;Background:The protein encoded by this gene induces proliferation, migration, and fenestration (the formation of membrane discontinuities) in capillary endothelial cells derived from endocrine glands. It has little or no effect on a variety of other endothelial and non-endothelial cell types. Its expression is restricted to the steroidogenic glands (ovary, testis, adrenal, and placenta), is induced by hypoxia, and often complementary to the expression of vascular endothelial growth factor (VEGF), suggesting that these molecules function in a coordinated manner. [provided by RefSeq, Sep 2011],Function:developmental stage:In adult testis, is strongly expressed only in Leydig cells. In testicular tumors, expressed specifically in Leydig cell tumors (at protein level). Expressed from 14 weeks until birth in fetal testis.,Function:Potently contracts gastrointestinal (GI) smooth muscle. Induces proliferation, migration and fenestration (the formation of membrane discontinuities) in capillary endothelial cells derived from endocrine glands. Has little or no effect on a variety of other endothelial and non-endothelial cell types. Induces proliferation and differentiation, but not migration, of enteric neural crest cells. Directly influences neuroblastoma progression by promoting the proliferation and migration of neuroblastoma cells. Positively regulates PTGS2 expression and prostaglandin synthesis. May play a role in placentation. May play a role in normal and pathological testis angiogenesis.,similarity:Belongs to the AVIT (prokineticin) family.,tissue specificity:Localizes to glandular epithelium, stroma and vascular epithelial cells of first trimester decidua (at protein level). Up-regulated in first trimester decidua when compared with non-pregnant endometrium. Expressed in the steroidogenic glands, ovary, testis, adrenal and placenta.,Cellular Localization:Secreted.Tissue Expression:Localizes to glandular epithelium, stroma and vascular epithelial cells of first trimester decidua (at protein level). Up-regulated in first trimester decidua when compared with non-pregnant endometrium. Expressed in the steroidogenic glands, ovary, testis, adrenal and placenta.
商品信息已成功复制,启研竭诚为您服务
