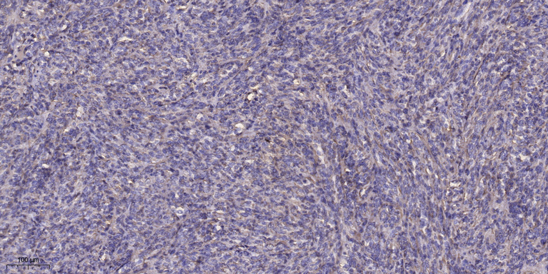
Main InformationTargetS100A7Host SpeciesRabbitReactivityHumanApplicationsWB, IHC, IF, ELISAMW11kD (Calculated)Conjugate/ModificationUnmodifiedDetailed InformationRecommended Dilution RatioWB 1:500-1:2000; IHC 1:100-1:300; IF 1:200-1:1000; ELISA 1:5000; Not yet tested in other applications.FormulationLiquid in PBS containing 50% glycerol, 0.5% BSA and 0.02% sodium azide.SpecificityThis antibody detects endogenous levels of human S100A7PurificationThe antibody was affinity-purified from rabbit antiserum by affinity-chromatography using epitope-specific immunogen.Storage-15°C to -25°C/1 year(Do not lower than -25°C)Concentration1 mg/mlMW(Calculated)11kDModificationUnmodifiedClonalityPolyclonalIsotypeIgGAntigen&Target InformationImmunogen:Synthesized peptide derived from human S100A7 AA range: 1-51Specificity:This antibody detects endogenous levels of human S100A7Gene Name:S100A7 PSOR1 S100A7CProtein Name:S100A7Other Name:Protein S100-A7 ; Psoriasin ; S100 calcium-binding protein A7 ;Background:S100 calcium binding protein A7(S100A7) Homo sapiens The protein encoded by this gene is a member of the S100 family of proteins containing 2 EF-hand calcium-binding motifs. S100 proteins are localized in the cytoplasm and/or nucleus of a wide range of cells, and involved in the regulation of a number of cellular processes such as cell cycle progression and differentiation. S100 genes include at least 13 members which are located as a cluster on chromosome 1q21. This protein differs from the other S100 proteins of known structure in its lack of calcium binding ability in one EF-hand at the N-terminus. The protein is overexpressed in hyperproliferative skin diseases, exhibits antimicrobial activities against bacteria and induces immunomodulatory activities. [provided by RefSeq, Nov 2014],Function:mass spectrometry: PubMed:8526920,similarity:Belongs to the S-101 family.,similarity:Contains 2 EF-hand domains.,subcellular location:Secreted by a non-classical secretory pathway.,subunit:Interacts with RANBP9.,tissue specificity:Fetal ear, skin, and tongue and human cell lines. Highly up-regulated in psoriatic epidermis. Also highly expressed in the urine of bladder squamous cell carcinoma (SCC) bearing patients.,Cellular Localization:Cytoplasm . Secreted . Secreted by a non-classical secretory pathway.Tissue Expression:Fetal ear, skin, and tongue and human cell lines. Highly up-regulated in psoriatic epidermis. Also highly expressed in the urine of bladder squamous cell carcinoma (SCC) bearing patients.Research Areas:>>IL-17 signaling pathway
商品信息已成功复制,启研竭诚为您服务
