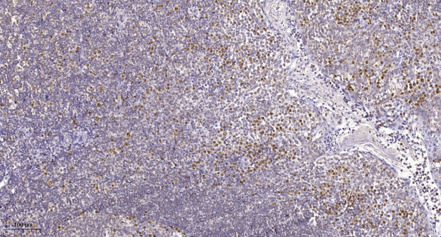
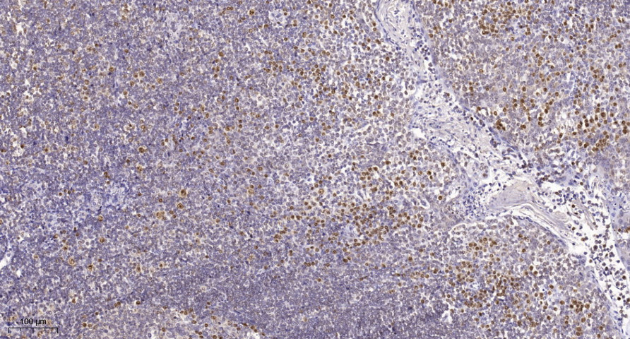
Main InformationTargetSUMO2Host SpeciesRabbitReactivityHuman, Mouse, RatApplicationsWB, IHC, IF, ELISAMW11kD (Calculated)Conjugate/ModificationUnmodifiedDetailed InformationRecommended Dilution RatioWB 1:500-1:2000; IHC 1:100-1:300; IF 1:200-1:1000; ELISA 1:5000; Not yet tested in other applications.FormulationLiquid in PBS containing 50% glycerol, 0.5% BSA and 0.02% sodium azide.SpecificityThis antibody detects endogenous levels of human SUMO2PurificationThe antibody was affinity-purified from rabbit antiserum by affinity-chromatography using epitope-specific immunogen.Storage-15°C to -25°C/1 year(Do not lower than -25°C)Concentration1 mg/mlMW(Calculated)11kDModificationUnmodifiedClonalityPolyclonalIsotypeIgGAntigen&Target InformationImmunogen:Synthesized peptide derived from human SUMO2 AA range: 45-95Specificity:This antibody detects endogenous levels of human SUMO2Gene Name:SUMO2 SMT3A SMT3H2Protein Name:SUMO2Other Name:Small ubiquitin-related modifier 2 ; SUMO-2 ; HSMT3 ; SMT3 homolog 2 ; SUMO-3 ; Sentrin-2 ; Ubiquitin-like protein SMT3A ; Smt3A ;Background:This gene encodes a protein that is a member of the SUMO (small ubiquitin-like modifier) protein family. It functions in a manner similar to ubiquitin in that it is bound to target proteins as part of a post-translational modification system. However, unlike ubiquitin which targets proteins for degradation, this protein is involved in a variety of cellular processes, such as nuclear transport, transcriptional regulation, apoptosis, and protein stability. It is not active until the last two amino acids of the carboxy-terminus have been cleaved off. Numerous pseudogenes have been reported for this gene. Alternate transcriptional splice variants, encoding different isoforms, have been characterized. [provided by RefSeq, Jul 2008],Function:Function:Ubiquitin-like protein which can be covalently attached to target lysines either as a monomer or as a lysine-linked polymer. Does not seem to be involved in protein degradation and may function as an antagonist of ubiquitin in the degradation process. Plays a role in a number of cellular processes such as nuclear transport, DNA replication and repair, mitosis and signal transduction. Covalent attachment to its substrates requires prior activation by the E1 complex SAE1-SAE2 and linkage to the E2 enzyme UBE2I, and can be promoted by an E3 ligase such as PIAS1-4, RANBP2 or CBX4.,online information:SUMO protein entry,PTM:Cleavage of precursor form by SENP1 or SENP2 is necessary for function.,PTM:Cleavage of precursor form by SENP1, SENP2 or SENP5 is necessary for function.,PTM:Polymeric chains can be formed through Lys-11 cross-linking.,similarity:Belongs to the ubiquitin family. SUMO subfamily.,similarity:Contains 1 ubiquitin-like domain.,subcellular location:Nuclear bodies.,subunit:Homotrimer (Potential). Crystal packing analysis suggests a possible trimeric assembly, of which the biological significance remains to be determined. Interacts with SAE2 and UBE2I. Covalently attached to a number of proteins. Interacts with PELP1.,subunit:Interacts with SAE2 and UBE2I. Covalently attached to a number of proteins.,tissue specificity:Broadly expressed.,tissue specificity:Expressed predominantly in liver.,Cellular Localization:Nucleus. Nucleus, PML body.Tissue Expression:Broadly expressed.Research Areas:>>Nucleocytoplasmic transport ; >>Fluid shear stress and atherosclerosis
商品信息已成功复制,启研竭诚为您服务
