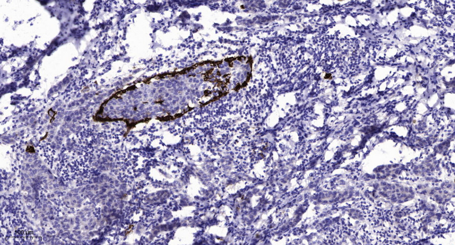
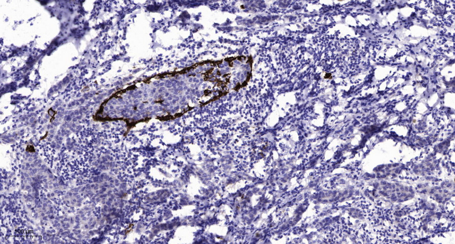
Main InformationTargetGNG13Host SpeciesRabbitReactivityHuman, MouseApplicationsIHC, ELISAConjugate/ModificationUnmodifiedDetailed InformationRecommended Dilution RatioIHC 1:50-200; ELISA(peptide)1:5000-20000FormulationLiquid in PBS containing 50% glycerol, 0.5% BSA and 0.02% sodium azide.SpecificityThis antibody detects endogenous levels of human GNG13PurificationThe antibody was affinity-purified from rabbit antiserum by affinity-chromatography using epitope-specific immunogen.Storage-15°C to -25°C/1 year(Do not lower than -25°C)Concentration1 mg/mlModificationUnmodifiedClonalityPolyclonalIsotypeIgGAntigen&Target InformationImmunogen:Synthesized peptide derived from human GNG13 AA range: 1-50Specificity:This antibody detects endogenous levels of human GNG13Gene Name:GNG13Protein Name:GNG13Other Name:Guanine nucleotide-binding protein G ; I ; /G ; S ; /G ; O ; subunit gamma-13Background:Heterotrimeric G proteins, which consist of alpha (see MIM 139320), beta (see MIM 139380), and gamma subunits, function as signal transducers for the 7-transmembrane-helix G protein-coupled receptors. GNG13 is a gamma subunit that is expressed in taste, retinal, and neuronal tissues and plays a key role in taste transduction (Li et al., 2006 [PubMed 16473877]).[supplied by OMIM, Oct 2009],Function:Function:Guanine nucleotide-binding proteins (G proteins) are involved as a modulator or transducer in various transmembrane signaling systems. The beta and gamma chains are required for the GTPase activity, for replacement of GDP by GTP, and for G protein-effector interaction.,similarity:Belongs to the G protein gamma family.,subunit:G proteins are composed of 3 units, alpha, beta and gamma.,Cellular Localization:Cell membrane ; Lipid-anchor ; Cytoplasmic side .Tissue Expression:Brain,Cerebellum,Research Areas:>>Ras signaling pathway ; >>Chemokine signaling pathway ; >>PI3K-Akt signaling pathway ; >>Apelin signaling pathway ; >>Circadian entrainment ; >>Retrograde endocannabinoid signaling ; >>Glutamatergic synapse ; >>Cholinergic synapse ; >>Serotonergic synapse ; >>GABAergic synapse ; >>Dopaminergic synapse ; >>Olfactory transduction ; >>Taste transduction ; >>Relaxin signaling pathway ; >>Morphine addiction ; >>Alcoholism ; >>Human cytomegalovirus infection ; >>Kaposi sarcoma-associated herpesvirus infection ; >>Human immunodeficiency virus 1 infection ; >>Pathways in cancer
商品信息已成功复制,启研竭诚为您服务
