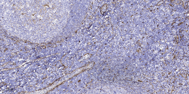
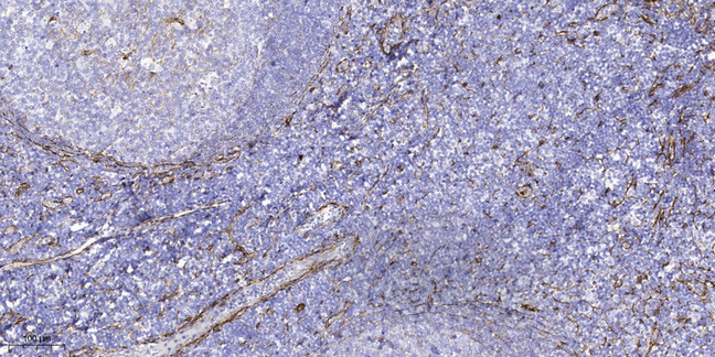
Main InformationTargetAATCHost SpeciesRabbitReactivityHuman, Mouse, RatApplicationsIHC, IF, WBMW42kD (Observed)Conjugate/ModificationUnmodifiedDetailed InformationRecommended Dilution RatioIHC 1:50-200; WB 1:500-2000; IF 1:50-200FormulationLiquid in PBS containing 50% glycerol, 0.5% BSA and 0.02% sodium azide.SpecificityThis antibody detects endogenous levels of human AATCPurificationThe antibody was affinity-purified from rabbit antiserum by affinity-chromatography using epitope-specific immunogen.Storage-15°C to -25°C/1 year(Do not lower than -25°C)Concentration1 mg/mlMW(Observed)42kDModificationUnmodifiedClonalityPolyclonalIsotypeIgGAntigen&Target InformationImmunogen:Synthesized peptide derived from human AATCSpecificity:This antibody detects endogenous levels of human AATCGene Name:GOT1Protein Name:AATCOther Name:Aspartate aminotransferase, cytoplasmic ; Glutamate oxaloacetate transaminase 1 ; Transaminase A ;Background:Glutamic-oxaloacetic transaminase is a pyridoxal phosphate-dependent enzyme which exists in cytoplasmic and mitochondrial forms, GOT1 and GOT2, respectively. GOT plays a role in amino acid metabolism and the urea and tricarboxylic acid cycles. The two enzymes are homodimeric and show close homology. [provided by RefSeq, Jul 2008],Function:Catalytic activity:L-aspartate + 2-oxoglutarate = oxaloacetate + L-glutamate.,cofactor:Pyridoxal phosphate.,miscellaneous:In eukaryotes there are cytoplasmic, mitochondrial and chloroplastic isozymes.,similarity:Belongs to the class-I pyridoxal-phosphate-dependent aminotransferase family.,subunit:Homodimer.,Cellular Localization:Cytoplasm .Tissue Expression:Brain,Liver,Lung,Research Areas:>>Arginine biosynthesis ; >>Alanine, aspartate and glutamate metabolism ; >>Cysteine and methionine metabolism ; >>Arginine and proline metabolism ; >>Tyrosine metabolism ; >>Phenylalanine metabolism ; >>Phenylalanine, tyrosine and tryptophan biosynthesis ; >>Metabolic pathways ; >>Carbon metabolism ; >>2-Oxocarboxylic acid metabolism ; >>Biosynthesis of amino acids
商品信息已成功复制,启研竭诚为您服务
