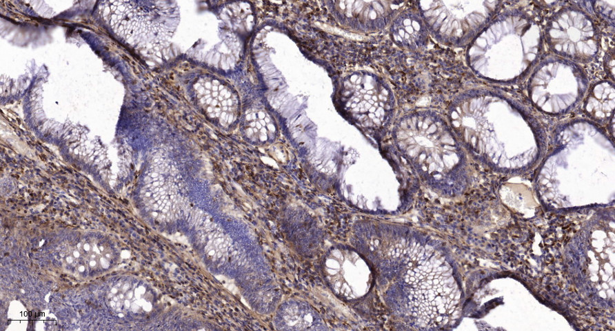
Main InformationTargetCD66cHost SpeciesRabbitReactivityHumanApplicationsIHC, IF, WBMW37kD (Observed)Conjugate/ModificationUnmodifiedDetailed InformationRecommended Dilution RatioIHC 1:50-200; WB 1:500-2000; IF 1:50-200FormulationLiquid in PBS containing 50% glycerol, 0.5% BSA and 0.02% sodium azide.SpecificityThis antibody detects endogenous levels of human CEAM6PurificationThe antibody was affinity-purified from rabbit antiserum by affinity-chromatography using epitope-specific immunogen.Storage-15°C to -25°C/1 year(Do not lower than -25°C)Concentration1 mg/mlMW(Observed)37kDModificationUnmodifiedClonalityPolyclonalIsotypeIgGAntigen&Target InformationImmunogen:Synthesized peptide derived from human CEAM6Specificity:This antibody detects endogenous levels of human CEAM6Gene Name:CEACAM6 NCAProtein Name:CEAM6Other Name:Carcinoembryonic antigen-related cell adhesion molecule 6 ; Non-specific crossreacting antigen ; Normal cross-reacting antigen ; CD antigen CD66c ;Background:This gene encodes a protein that belongs to the carcinoembryonic antigen (CEA) family whose members are glycosyl phosphatidyl inositol (GPI) anchored cell surface glycoproteins. Members of this family play a role in cell adhesion and are widely used as tumor markers in serum immunoassay determinations of carcinoma. This gene affects the sensitivity of tumor cells to adenovirus infection. The protein encoded by this gene acts as a receptor for adherent-invasive E. coli adhesion to the surface of ileal epithelial cells in patients with Crohn's disease. This gene is clustered with genes and pseudogenes of the cell adhesion molecules subgroup of the CEA family on chromosome 19. [provided by RefSeq, Apr 2014],Function:similarity:Belongs to the immunoglobulin superfamily. CEA family.,similarity:Contains 1 Ig-like V-type (immunoglobulin-like) domain.,similarity:Contains 2 Ig-like C2-type (immunoglobulin-like) domains.,Cellular Localization:Cell membrane; Lipid-anchor, GPI-anchor . Apical cell membrane . Cell surface . Localized to the apical glycocalyx surface. .Tissue Expression:Expressed in neutrophils (PubMed:1378450). Expressed in columnar epithelial and goblet cells of the colon (PubMed:10436421). Expressed in numerous tumor cell lines (at protein level) (PubMed:16204051).
商品信息已成功复制,启研竭诚为您服务
