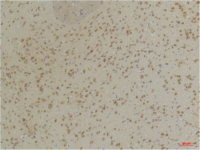
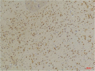
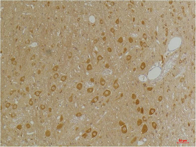
Main InformationTargetGABA A Receptor α3Host SpeciesRabbitReactivityHuman, Rat, MouseApplicationsWB, IHC, IFMW55kD (Observed)Conjugate/ModificationUnmodifiedDetailed InformationRecommended Dilution RatioWB 1:1000-2000; IHC 1:100-200; IF 1:50-200FormulationLiquid in PBS containing 50% glycerol, 0.5% BSA and 0.02% sodium azide.SpecificityGABA A Receptor α3 protein(A225) detects endogenous levels of GABA A Receptor α3PurificationThe antibody was affinity-purified from rabbit antiserum by affinity-chromatography using epitope-specific immunogen.Storage-15°C to -25°C/1 year(Do not lower than -25°C)Concentration1 mg/mlMW(Observed)55kDModificationUnmodifiedClonalityPolyclonalIsotypeIgGAntigen&Target InformationImmunogen:Synthetic Peptide of GABA A Receptor α3 AA range: 51-101Specificity:GABA A Receptor α3 protein(A225) detects endogenous levels of GABA A Receptor α3Gene Name:GABRA3Protein Name:Gamma-aminobutyric acid receptor subunit alpha-3 (GABA(A) receptor subunit alpha-3)Other Name:Gamma-aminobutyric acid receptor subunit alpha-3 ; GABA ; A ; receptor subunit alpha-3 ;Background:GABA is the major inhibitory neurotransmitter in the mammalian brain where it acts at GABA-A receptors, which are ligand-gated chloride channels. Chloride conductance of these channels can be modulated by agents such as benzodiazepines that bind to the GABA-A receptor. At least 16 distinct subunits of GABA-A receptors have been identified. [provided by RefSeq, Jul 2008],Function:Function:GABA, the major inhibitory neurotransmitter in the vertebrate brain, mediates neuronal inhibition by binding to the GABA/benzodiazepine receptor and opening an integral chloride channel.,online information:Forbidden fruit - Issue 56 of March 2005,similarity:Belongs to the ligand-gated ionic channel (TC 1.A.9) family.,subunit:Binds UBQLN1 (By similarity). Generally pentameric. There are five types of GABA(A) receptor chains: alpha, beta, gamma, delta, and rho.,Cellular Localization:Cell junction, synapse, postsynaptic cell membrane; Multi-pass membrane protein. Cell membrane; Multi-pass membrane protein.Tissue Expression:Brain,Research Areas:>>Neuroactive ligand-receptor interaction ; >>Retrograde endocannabinoid signaling ; >>GABAergic synapse ; >>Taste transduction ; >>Morphine addiction ; >>Nicotine addiction
