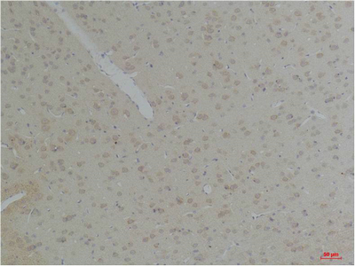
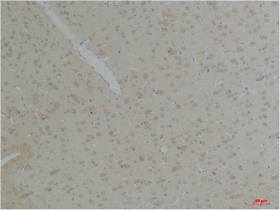
Main InformationTargetKCNK10Host SpeciesRabbitReactivityHuman, RatApplicationsWB, IHC, IFMW59kD (Observed)Conjugate/ModificationUnmodifiedDetailed InformationRecommended Dilution RatioWB 1:1000-2000; IHC 1:100-200; IF 1:50-200FormulationLiquid in PBS containing 50% glycerol, 0.5% BSA and 0.02% sodium azide.SpecificityKCNK10(TREK-2) protein(A237) detects endogenous levels of KCNK10(TREK-2)PurificationThe antibody was affinity-purified from rabbit antiserum by affinity-chromatography using epitope-specific immunogen.Storage-15°C to -25°C/1 year(Do not lower than -25°C)Concentration1 mg/mlMW(Observed)59kDModificationUnmodifiedClonalityPolyclonalIsotypeIgGAntigen&Target InformationImmunogen:Synthetic Peptide of KCNK10 (TREK-2) AA range: 16-66Specificity:KCNK10(TREK-2) protein(A237) detects endogenous levels of KCNK10(TREK-2)Gene Name:KCNK10Protein Name:Potassium channel subfamily K member 10 (Outward rectifying potassium channel protein TREK-2) (TREK-2 K(+) channel subunit)Other Name:Potassium channel subfamily K member 10 ; Outward rectifying potassium channel protein TREK-2 ; TREK-2 K ; + ; channel subunit ;Background:potassium two pore domain channel subfamily K member 10(KCNK10) Homo sapiens The protein encoded by this gene belongs to the family of potassium channel proteins containing two pore-forming P domains. This channel is an open rectifier which primarily passes outward current under physiological K+ concentrations, and is stimulated strongly by arachidonic acid and to a lesser degree by membrane stretching, intracellular acidification, and general anaesthetics. Several alternatively spliced transcript variants encoding different isoforms have been identified for this gene. [provided by RefSeq, Sep 2008],Function:Function:Outward rectifying potassium channel. Produces rapidly activating and non-inactivating outward rectifier K(+) currents. Activated by arachidonic acid and other naturally occurring unsaturated free fatty acids.,similarity:Belongs to the two pore domain potassium channel (TC 1.A.1.8) family.,tissue specificity:Abundantly expressed in pancreas and kidney and to a lower level in brain, testis, colon, and small intestine. Isoform b is strongly expressed in kidney (primarily in the proximal tubule) and pancreas, whereas isoform c is abundantly expressed in brain.,Cellular Localization:Membrane ; Multi-pass membrane protein .Tissue Expression:Abundantly expressed in pancreas and kidney and to a lower level in brain, testis, colon, and small intestine. Isoform b is strongly expressed in kidney (primarily in the proximal tubule) and pancreas, whereas isoform c is abundantly expressed in brain.Research Areas:>>Gastric acid secretion
商品信息已成功复制,启研竭诚为您服务
