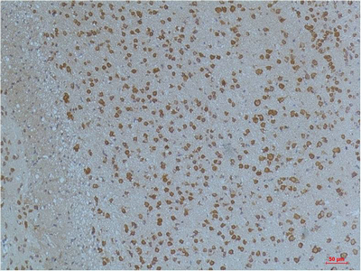
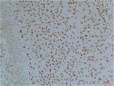
Main InformationTargetKv11.1Host SpeciesRabbitReactivityRat, MouseApplicationsWB, IHC, IFMW62kD (Observed)Conjugate/ModificationUnmodifiedDetailed InformationRecommended Dilution RatioWB 1:1000-2000; IHC 1:100-200; IF 1:50-200FormulationLiquid in PBS containing 50% glycerol, 0.5% BSA and 0.02% sodium azide.SpecificityKv11.1 protein(A262) detects endogenous levels of Kv11.1PurificationThe antibody was affinity-purified from rabbit antiserum by affinity-chromatography using epitope-specific immunogen.Storage-15°C to -25°C/1 year(Do not lower than -25°C)Concentration1 mg/mlMW(Observed)62kDModificationUnmodifiedClonalityPolyclonalIsotypeIgGAntigen&Target InformationImmunogen:Synthetic Peptide of Kv11.1Specificity:Kv11.1 protein(A262) detects endogenous levels of Kv11.1Gene Name:KCNV2Protein Name:Potassium voltage-gated channel subfamily V member 2 (Voltage-gated potassium channel subunit Kv8.2)Other Name:KCNV2 ; Potassium voltage-gated channel subfamily V member 2 ; Voltage-gated potassium channel subunit Kv8.2Background:Voltage-gated potassium (Kv) channels represent the most complex class of voltage-gated ion channels from both functional and structural standpoints. Their diverse functions include regulating neurotransmitter release, heart rate, insulin secretion, neuronal excitability, epithelial electrolyte transport, smooth muscle contraction, and cell volume. This gene encodes a member of the potassium voltage-gated channel subfamily V. This member is identified as a 'silent subunit', and it does not form homomultimers, but forms heteromultimers with several other subfamily members. Through obligatory heteromerization, it exerts a function-altering effect on other potassium channel subunits. This protein is strongly expressed in pancreas and has a weaker expression in several other tissues. [provided by RefSeq, Jul 2008],Function:Disease:Defects in KCNV2 are the cause of cone dystrophy retinal type 3B (RCD3B) [MIM:610356]; also called cone dystrophy with night blindness and supernormal rod responses KCNV2-related. RCD3B is a rare form of cone dystrophy associated with supernormal rod responses. The disorder is characterized by reduced visual acuity, photoaversion, night blindness, and abnormal color vision. At an early age, the retina shows subtle depigmentation at the macula and, later, more obvious areas of atrophy.,Domain:The segment S4 is probably the voltage-sensor and is characterized by a series of positively charged amino acids at every third position.,Function:Potassium channel subunit. Modulates channel activity by shifting the threshold and the half-maximal activation to more negative values.,similarity:Belongs to the potassium channel family. V subfamily.,subcellular location:Has to be associated with KCNB1 or possibly another partner to get inserted in the plasma membrane. Remains intracellular in the absence of KCNB1.,subunit:Heteromultimer with KCNB1, KCNC1 and KCNF1. Does not form homomultimers.,tissue specificity:Detected in lung, liver, kidney, pancreas, spleen, thymus, prostate, testis, ovary and colon.,Cellular Localization:Cell membrane; Multi-pass membrane protein. Has to be associated with KCNB1 or possibly another partner to get inserted in the plasma membrane. Remains intracellular in the absence of KCNB1.Tissue Expression:Detected in lung, liver, kidney, pancreas, spleen, thymus, prostate, testis, ovary and colon.
商品信息已成功复制,启研竭诚为您服务
