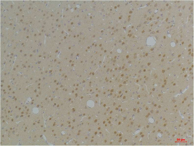
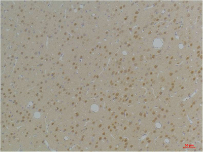
Main InformationTargetKVβ1Host SpeciesRabbitReactivityHuman, Rat, MouseApplicationsIHC, IFMW50kD (Observed)Conjugate/ModificationUnmodifiedDetailed InformationRecommended Dilution RatioIHC 1:100-200; IF 1:50-200FormulationLiquid in PBS containing 50% glycerol, 0.5% BSA and 0.02% sodium azide.SpecificityKVβ1 protein(A255) detects endogenous levels of KVβ1PurificationThe antibody was affinity-purified from rabbit antiserum by affinity-chromatography using epitope-specific immunogen.Storage-15°C to -25°C/1 year(Do not lower than -25°C)Concentration1 mg/mlMW(Observed)50kDModificationUnmodifiedClonalityPolyclonalIsotypeIgGAntigen&Target InformationImmunogen:Synthetic Peptide of KVβ1 AA range: 66-116Specificity:KVβ1 protein(A255) detects endogenous levels of KVβ1Gene Name:KCNAB1Protein Name:Voltage-gated potassium channel subunit beta-1 (K(+) channel subunit beta-1) (Kv-beta-1)Other Name:Voltage-gated potassium channel subunit beta-1 ; K ; + ; channel subunit beta-1 ; Kv-beta-1 ;Background:Potassium channels represent the most complex class of voltage-gated ion channels from both functional and structural standpoints. Their diverse functions include regulating neurotransmitter release, heart rate, insulin secretion, neuronal excitability, epithelial electrolyte transport, smooth muscle contraction, and cell volume. Four sequence-related potassium channel genes - shaker, shaw, shab, and shal - have been identified in Drosophila, and each has been shown to have human homolog(s). This gene encodes a member of the potassium channel, voltage-gated, shaker-related subfamily. This member includes distinct isoforms which are encoded by alternatively spliced transcript variants of this gene. Some of these isoforms are beta subunits, which form heteromultimeric complexes with alpha subunits and modulate the activity of the pore-forming alpFunction:Domain:Alteration of functional properties of alpha subunit is mediated through N-terminal domain of beta subunit.,Function:Accessory potassium channel protein which modulates the activity of the pore-forming alpha subunit. All three isoforms alter the functional properties of Kv1.4 and Kv1.5. Isoform KvB1.2 has no effect on Kv1.1, Kv1.2 or Kv2.1.,similarity:Belongs to the shaker potassium channel beta subunit family.,subunit:Forms heteromultimeric complex with alpha subunits. Interacts with SQSTM1.,tissue specificity:In brain, expression is most prominent in caudate nucleus, hippocampus and thalamus. Significant expression also detected in amygdala and subthalamic nucleus. Also expressed in both healthy and cardiomyopathic heart. Up to four times more abundant in left ventricle than left atrium.,Cellular Localization:Cytoplasm . Membrane ; Peripheral membrane protein ; Cytoplasmic side . Cell membrane ; Peripheral membrane protein ; Cytoplasmic side . Recruited to the cytoplasmic side of the cell membrane via its interaction with pore-forming potassium channel alpha subunits. .Tissue Expression:In brain, expression is most prominent in caudate nucleus, hippocampus and thalamus. Significant expression also detected in amygdala and subthalamic nucleus. Also expressed in both healthy and cardiomyopathic heart. Up to four times more abundant in left ventricle than left atrium.
商品信息已成功复制,启研竭诚为您服务
