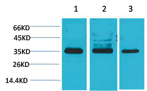
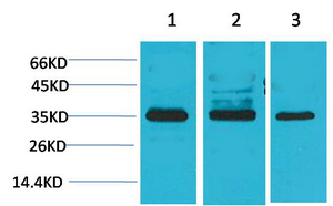
Main InformationTargetL-type Ca++ CP γ4Host SpeciesRabbitReactivityHuman, Mouse, RatApplicationsWB, IHC, IFMW35kD (Observed)Conjugate/ModificationUnmodifiedDetailed InformationRecommended Dilution RatioWB 1:1000-2000; IHC 1:200-500; IF 1:50-200FormulationPBS, pH 7.4, containing 0.5%BSA, 0.02% sodium azide as Preservative and 50% Glycerol.SpecificityThe antibody detects endogenous L-type Ca++ CP γ4 protein.PurificationThe antibody was affinity-purified from rabbit antiserum by affinity-chromatography using epitope-specific immunogen.Storage-15°C to -25°C/1 year(Do not lower than -25°C)MW(Observed)35kDModificationUnmodifiedClonalityPolyclonalIsotypeIgGAntigen&Target InformationImmunogen:Synthetic Peptide of L-type Ca++ CP γ4 AA range: 120-200Specificity:The antibody detects endogenous L-type Ca++ CP γ4 protein.Gene Name:CACNG4Protein Name:Voltage-dependent calcium channel gamma-4 subunitOther Name:CACNG4 ; Voltage-dependent calcium channel gamma-4 subunit ; Neuronal voltage-gated calcium channel gamma-4 subunit ; Transmembrane AMPAR regulatory protein gamma-4 ; TARP gamma-4Background:calcium voltage-gated channel auxiliary subunit gamma 4(CACNG4) Homo sapiens The protein encoded by this gene is a type I transmembrane AMPA receptor regulatory protein (TARP). TARPs regulate both trafficking and channel gating of the AMPA receptors. This gene is part of a functionally diverse eight-member protein subfamily of the PMP-22/EMP/MP20 family and is located in a cluster with two family members, a type II TARP and a calcium channel gamma subunit. [provided by RefSeq, Dec 2010],Function:Function:Thought to stabilize the calcium channel in an inactivated (closed) state.,similarity:Belongs to the PMP-22/EMP/MP20 family. CACNG subfamily.,subunit:The L-type calcium channel is composed of five subunits: alpha-1, alpha-2/delta, beta and gamma.,Cellular Localization:Cell membrane ; Multi-pass membrane protein .Tissue Expression:Detected in heart left ventricle.Research Areas:>>MAPK signaling pathway ; >>Cardiac muscle contraction ; >>Adrenergic signaling in cardiomyocytes ; >>Oxytocin signaling pathway ; >>Hypertrophic cardiomyopathy ; >>Arrhythmogenic right ventricular cardiomyopathy ; >>Dilated cardiomyopathy
商品信息已成功复制,启研竭诚为您服务
