欢迎来到启研生物[ 会员登录 ] [ 立即注册 ]
400-812-0026

购物车0

您购物车为空,赶紧选购吧!
Mas1 Polyclonal Antibody
Mas1 Polyclonal Antibody
<
>
Mas1 Polyclonal Antibody
市场价格
经销商客户: ¥214.5
实验室客户: ¥292.5
一键复制商品信息
近期销售量0 用户评价:comment rank 5()
文件与质量管理
浏览历史 [清空]

商品描述

商品属性

Main Information
Target
Mas1
Host Species
Rabbit
Reactivity
Human, Mouse, Rat
Applications
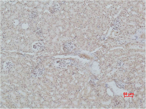
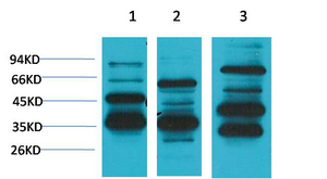
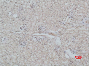
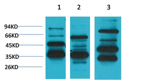
WB, IHC, IF
MW
36-50kD (Observed)
Conjugate/Modification
Unmodified
Detailed Information
Recommended Dilution Ratio
WB 1:2000-5000; IHC 1:200-500; IF 1:50-200
Formulation
PBS, pH 7.4, containing 0.5%BSA, 0.02% sodium azide as Preservative and 50% Glycerol.
Specificity
The antibody detects endogenous Mas1 protein.
Purification
The antibody was affinity-purified from rabbit antiserum by affinity-chromatography using epitope-specific immunogen.
Storage
-15°C to -25°C/1 year(Do not lower than -25°C)
MW(Observed)
36-50kD
Modification
Unmodified
Clonality
Polyclonal
Isotype
IgG
Antigen&Target Information
Immunogen:
Synthetic Peptide of Mas1
Specificity:
The antibody detects endogenous Mas1 protein.
Gene Name:
MAS1
Protein Name:
Proto-oncogene Mas
Other Name:
MAS1 ;
MAS ;
Proto-oncogene Mas
Database Link:
Organism Gene ID SwissProt
Human 4142; P04201;
Mouse P30554;
Rat P12526;
Background:
This gene encodes a class I seven-transmembrane G-protein-coupled receptor. The encoded protein is a receptor for angiotensin-(1-7) and preferentially couples to the Gq protein, activating the phospholipase C signaling pathway. The encoded protein may play a role in multiple processes including hypotension, smooth muscle relaxation and cardioprotection by mediating the effects of angiotensin-(1-7). [provided by RefSeq, May 2012],
Function:
Caution:Was originally (PubMed:3419518) thought to be a receptor for angiotensin II.,Disease:The MAS oncogene has a weak focus-inducing activity in transfected NIH 3T3 cells.,similarity:Belongs to the G-protein coupled receptor 1 family.,
Cellular Localization:
Cell membrane ; Multi-pass membrane protein .
Research Areas:
>>Neuroactive ligand-receptor interaction ;
>>Renin-angiotensin system ;
>>Coronavirus disease - COVID-19

商品信息已成功复制,启研竭诚为您服务

广告说明