欢迎来到启研生物[ 会员登录 ] [ 立即注册 ]
400-812-0026

购物车0

您购物车为空,赶紧选购吧!
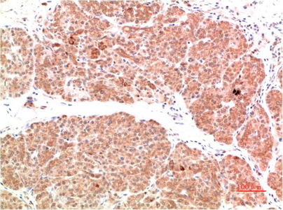
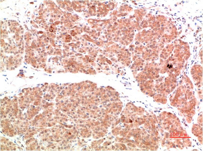
PI 3 Kinase P85 Rabbit Polyclonal Antibody
PI 3 Kinase P85 Rabbit Polyclonal Antibody
<
>
PI 3 Kinase P85 Rabbit Polyclonal Antibody
市场价格
经销商客户: ¥214.5
实验室客户: ¥292.5
近期销售量0 用户评价:comment rank 5()
文件与质量管理
浏览历史 [清空]

商品描述

商品属性

Main Information
Target
PI3 Kinase P85α
Host Species
Rabbit
Reactivity
Human, Rat, Mouse
Applications
IHC, IF
MW
85kD (Observed)
Conjugate/Modification
Unmodified
Detailed Information
Recommended Dilution Ratio
IHC 1:100-200; IF 1:50-200
Formulation
Liquid in PBS containing 50% glycerol, 0.5% BSA and 0.02% sodium azide.
Specificity
PI3 Kinase P85 protein detects endogenous levels of PIK3R1
Purification
The antibody was affinity-purified from rabbit antiserum by affinity-chromatography using epitope-specific immunogen.
Storage
-15°C to -25°C/1 year(Do not lower than -25°C)
Concentration
1 mg/ml
MW(Observed)
85kD
Modification
Unmodified
Clonality
Polyclonal
Isotype
IgG
Antigen&Target Information
Immunogen:
Recombinant Protein of PI3 Kinase P85 of PIK3R1
Specificity:
PI3 Kinase P85 protein detects endogenous levels of PIK3R1
Gene Name:
PIK3R1/PIK3R2
Protein Name:
PIK3R1
Other Name:
PIK3R1
Database Link:
Organism Gene ID SwissProt
Human 5295; P27986;
Mouse P26450;
Rat Q63787;
Background:
Phosphatidylinositol 3-kinase phosphorylates the inositol ring of phosphatidylinositol at the 3-prime position. The enzyme comprises a 110 kD catalytic subunit and a regulatory subunit of either 85, 55, or 50 kD. This gene encodes the 85 kD regulatory subunit. Phosphatidylinositol 3-kinase plays an important role in the metabolic actions of insulin, and a mutation in this gene has been associated with insulin resistance. Alternative splicing of this gene results in four transcript variants encoding different isoforms. [provided by RefSeq, Jun 2011],
Function:
Disease:Defects in PIK3R1 are a cause of severe insulin resistance.,Domain:The SH3 domain mediates the binding to CBLB, and to HIV-1 Nef.,Function:Binds to activated (phosphorylated) protein-Tyr kinases, through its SH2 domain, and acts as an adapter, mediating the association of the p110 catalytic unit to the plasma membrane. Necessary for the insulin-stimulated increase in glucose uptake and glycogen synthesis in insulin-sensitive tissues.,PTM:Polyubiquitinated in T-cells by CBLB; which does not promote proteasomal degradation but impairs association with CD28 and CD3Z upon T-cell activation.,similarity:Belongs to the PI3K p85 subunit family.,similarity:Contains 1 Rho-GAP domain.,similarity:Contains 1 SH3 domain.,similarity:Contains 2 SH2 domains.,subunit:Heterodimer of a p110 (catalytic) and a p85 (regulatory) subunits. Interacts with phosphorylated TOM1L1. Interacts with phosphorylated LIME1 upon TCR and/or BCR activation. Interacts with SOCS7. Interacts with RUFY3 (By similarity). Interacts with phosphorylated LAT, LAX1 and TRAT1 upon TCR activation. Interacts with CBLB. Interacts with HIV-1 Nef to activate the Nef associated p21-activated kinase (PAK). This interaction depends on the C-terminus of both proteins and leads to increased production of HIV. Interacts with HCV NS5A. The SH2 domains interact with the YTHM motif of phosphorylated INSR in vitro. Also interacts with tyrosine-phosphorylated IGF1R in vitro. Interacts with CD28 and CD3Z upon T-cell activation. Interacts with IRS1 and phosphorylated IRS4, as well as with NISCH and HCST.,tissue specificity:Isoform 2 is expressed in skeletal muscle and brain, and at lower levels in kidney and cardiac muscle. Isoform 2 and isoform 4 are present in skeletal muscle (at protein level).,
Cellular Localization:
nucleus,cytoplasm,cis-Golgi network,cytosol,plasma membrane,cell-cell junction,phosphatidylinositol 3-kinase complex,phosphatidylinositol 3-kinase complex, class IA,membrane,perinuclear endoplasmic reticulum membrane,
Tissue Expression:
Isoform 2 is expressed in skeletal muscle and brain, and at lower levels in kidney and cardiac muscle. Isoform 2 and isoform 4 are present in skeletal muscle (at protein level).
Research Areas:
>>EGFR tyrosine kinase inhibitor resistance ;
>>Endocrine resistance ;
>>Platinum drug resistance ;
>>ErbB signaling pathway ;
>>Ras signaling pathway ;
>>Rap1 signaling pathway ;
>>cAMP signaling pathway ;
>>Chemokine signaling pathway ;
>>HIF-1 signaling pathway ;
>>FoxO signaling pathway ;
>>Phosphatidylinositol signaling system ;
>>Sphingolipid signaling pathway ;
>>Phospholipase D signaling pathway ;
>>Autophagy - animal ;
>>mTOR signaling pathway ;
>>PI3K-Akt signaling pathway ;
>>AMPK signaling pathway ;
>>Apoptosis ;
>>Longevity regulating pathway ;
>>Longevity regulating pathway - multiple species ;
>>Cellular senescence ;
>>Axon guidance ;
>>VEGF signaling pathway ;
>>Osteoclast differentiation ;
>>Focal adhesion ;
>>Signaling pathways regulating pluripotency of stem cells ;
>>Platelet activation ;
>>Neutrophil extracellular trap formation ;
>>Toll-like receptor signaling pathway ;
>>C-type lectin receptor signaling pathway ;
>>JAK-STAT signaling pathway ;
>>Natural killer cell mediated cytotoxicity ;
>>T cell receptor signaling pathway ;
>>B cell receptor signaling pathway ;
>>Fc epsilon RI signaling pathway ;
>>Fc gamma R-mediated phagocytosis ;
>>TNF signaling pathway ;
>>Leukocyte transendothelial migration ;
>>Neurotrophin signaling pathway ;
>>Cholinergic synapse ;
>>Inflammatory mediator regulation of TRP channels ;
>>Regulation of actin cytoskeleton ;
>>Insulin signaling pathway ;
>>Progesterone-mediated oocyte maturation ;
>>Estrogen signaling pathway ;
>>Prolactin signaling pathway ;
>>Thyroid hormone signaling pathway ;
>>Regulation of lipolysis in adipocytes ;
>>Relaxin signaling pathway ;
>>GnRH secretion ;
>>Type II diabetes mellitus ;
>>Insulin resistance ;
>>Non-alcoholic fatty liver disease ;
>>AGE-RAGE signaling pathway in diabetic complications ;
>>Growth hormone synthesis, secretion and action ;
>>Aldosterone-regulated sodium reabsorption ;
>>Carbohydrate digestion and absorption ;
>>Alzheimer disease ;
>>Spinocerebellar ataxia ;
>>Prion disease ;
>>Bacterial invasion of epithelial cells ;
>>Shigellosis ;
>>Yersinia infection ;
>>Chagas disease ;
>>Amoebiasis ;
>>Hepatitis C ;
>>Hepatitis B ;
>>Measles ;
>>Human cytomegalovirus infection ;
>>Influenza A ;
>>Human papillomavirus infection ;
>>Human T-cell leukemia virus 1 infection ;
>>Kaposi sarcoma-associated herpesvirus infection ;
>>Herpes simplex virus 1 infection ;
>>Epstein-Barr virus infection ;
>>Human immunodeficiency virus 1 infection ;
>>Coronavirus disease - COVID-19 ;
>>Pathways in cancer ;
>>Viral carcinogenesis ;
>>Proteoglycans in cancer ;
>>MicroRNAs in cancer ;
>>Chemical carcinogenesis - receptor activation ;
>>Chemical carcinogenesis - reactive oxygen species ;
>>Colorectal cancer ;
>>Renal cell carcinoma ;
>>Pancreatic cancer ;
>>Endometrial cancer ;
>>Glioma ;
>>Prostate cancer ;
>>Melanoma ;
>>Chronic myeloid leukemia ;
>>Acute myeloid leukemia ;
>>Small cell lung cancer ;
>>Non-small cell lung cancer ;
>>Breast cancer ;
>>Hepatocellular carcinoma ;
>>Gastric cancer ;
>>Central carbon metabolism in cancer ;
>>Choline metabolism in cancer ;
>>PD-L1 expression and PD-1 checkpoint pathway in cancer ;
>>Diabetic cardiomyopathy ;
>>Lipid and atherosclerosis ;
>>Fluid shear stress and atherosclerosis
广告说明