欢迎来到启研生物[ 会员登录 ] [ 立即注册 ]
400-812-0026

购物车0

您购物车为空,赶紧选购吧!
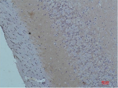
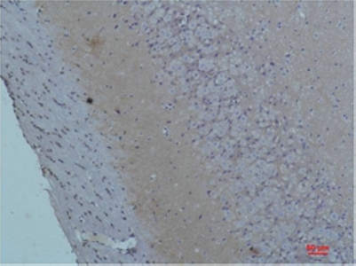
S100 Polyclonal Antibody
S100 Polyclonal Antibody
<
>
S100 Polyclonal Antibody
市场价格
经销商客户: ¥214.5
实验室客户: ¥292.5
一键复制商品信息
近期销售量0 用户评价:comment rank 5()
文件与质量管理
浏览历史 [清空]

商品描述

商品属性

Main Information
Target
S100
Host Species
Rabbit
Reactivity
Human, Rat, Mouse
Applications
WB, IHC, IF
MW
15kD (Observed)
Conjugate/Modification
Unmodified
Detailed Information
Recommended Dilution Ratio
WB 1:500-1:2000; IHC 1:100-1:300; ELISA 1:40000; IF 1:50-200
Formulation
Liquid in PBS containing 50% glycerol, 0.5% BSA and 0.02% sodium azide.
Specificity
The antibody detects endogenous S100 protein
Purification
The antibody was affinity-purified from rabbit antiserum by affinity-chromatography using epitope-specific immunogen.
Storage
-15°C to -25°C/1 year(Do not lower than -25°C)
Concentration
1 mg/ml
MW(Observed)
15kD
Modification
Unmodified
Clonality
Polyclonal
Isotype
IgG
Antigen&Target Information
Immunogen:
Recombinant Protein of S100
Specificity:
The antibody detects endogenous S100 protein
Gene Name:
S100A1
Protein Name:
Protein S100-A1 (S-100 protein alpha chain) (S-100 protein subunit alpha) (S100 calcium-binding protein A1)
Other Name:
Protein S100-A1 ;
S-100 protein alpha chain ;
S-100 protein subunit alpha ;
S100 calcium-binding protein A1 ;
Database Link:
Organism Gene ID SwissProt
Human 6271; P23297;
Mouse P56565;
Rat P35467;
Background:
S100 calcium binding protein A1(S100A1) Homo sapiens The protein encoded by this gene is a member of the S100 family of proteins containing 2 EF-hand calcium-binding motifs. S100 proteins are localized in the cytoplasm and/or nucleus of a wide range of cells, and involved in the regulation of a number of cellular processes such as cell cycle progression and differentiation. S100 genes include at least 13 members which are located as a cluster on chromosome 1q21. This protein may function in stimulation of Ca2+-induced Ca2+ release, inhibition of microtubule assembly, and inhibition of protein kinase C-mediated phosphorylation. Reduced expression of this protein has been implicated in cardiomyopathies. [provided by RefSeq, Jul 2008],
Function:
Function:Weakly binds calcium but binds zinc very tightly-distinct binding sites with different affinities exist for both ions on each monomer. Physiological concentrations of potassium ion antagonize the binding of both divalent cations, especially affecting high-affinity calcium-binding sites.,similarity:Belongs to the S-100 family.,similarity:Contains 2 EF-hand domains.,subunit:Dimer of either two alpha chains, or two beta chains, or one alpha and one beta chain.,tissue specificity:Highly prevalent in heart. Also found in lesser quantities in skeletal muscle and brain.,
Cellular Localization:
Cytoplasm . Sarcoplasmic reticulum . Mitochondrion .
Tissue Expression:
Highly prevalent in heart (PubMed:12804600, PubMed:1384693). Also found in lesser quantities in skeletal muscle and brain (PubMed:1384693).

商品信息已成功复制,启研竭诚为您服务

广告说明