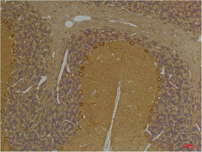
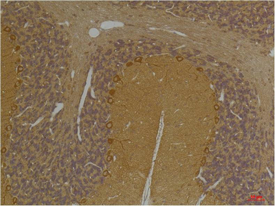
Main InformationTargetSLC12A4Host SpeciesRabbitReactivityHuman, Rat, MouseApplicationsWB, IHC, IFMW150kD (Observed)Conjugate/ModificationUnmodifiedDetailed InformationRecommended Dilution RatioWB 1:1000-2000; IHC 1:100-200; IF 1:50-200FormulationLiquid in PBS containing 50% glycerol, 0.5% BSA and 0.02% sodium azide.SpecificitySLC12A4 protein(A248) detects endogenous levels of SLC12A4PurificationThe antibody was affinity-purified from rabbit antiserum by affinity-chromatography using epitope-specific immunogen.Storage-15°C to -25°C/1 year(Do not lower than -25°C)Concentration1 mg/mlMW(Observed)150kDModificationUnmodifiedClonalityPolyclonalIsotypeIgGAntigen&Target InformationImmunogen:Synthetic Peptide of SLC12A4 AA range: 658-708Specificity:SLC12A4 protein(A248) detects endogenous levels of SLC12A4Gene Name:SLC12A4Protein Name:Solute carrier family 12 member 4 (Electroneutral potassium-chloride cotransporter 1) (Erythroid K-Cl cotransporter 1) (hKCC1)Other Name:Solute carrier family 12 member 4 ; Electroneutral potassium-chloride cotransporter 1 ; Erythroid K-Cl cotransporter 1 ; hKCC1 ;Background:This gene encodes a member of the SLC12A transporter family. The encoded protein mediates the coupled movement of potassium and chloride ions across the plasma membrane. This gene is expressed ubiquitously. Multiple alternatively spliced transcript variants encoding distinct isoforms have been found for this gene. [provided by RefSeq, Jan 2013],Function:Alternative products:Experimental confirmation may be lacking for some isoforms,Function:Mediates electroneutral potassium-chloride cotransport when activated by cell swelling. May contribute to cell volume homeostasis in single cells. May be involved in the regulation of basolateral Cl(-) exit in NaCl absorbing epithelia (By similarity). Isoform 4 has no transport activity.,PTM:N-glycosylated.,similarity:Belongs to the SLC12A transporter family.,subunit:Homomultimer and heteromultimer with other K-Cl cotransporters.,tissue specificity:Ubiquitous. Levels are much higher in erythrocytes from patients with Hb SC and Hb SS compared to normal AA erythrocytes. This may contribute to red blood cell dehydration and to the manifestation of sickle cell disease by increasing the intracellular concentration of HbS. Isoform 1 was not detected in circulating reticulocytes.,Cellular Localization:Membrane; Multi-pass membrane protein.Tissue Expression:Ubiquitous. Levels are much higher in erythrocytes from patients with Hb SC and Hb SS compared to normal AA erythrocytes. This may contribute to red blood cell dehydration and to the manifestation of sickle cell disease by increasing the intracellular concentration of HbS. Isoform 1 was not detected in circulating reticulocytes.
