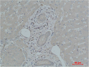
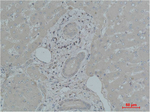
Main InformationTargetTransferrinHost SpeciesRabbitReactivityHuman, Mouse, RatApplicationsWB, IHC, IFMW77kD (Observed)Conjugate/ModificationUnmodifiedDetailed InformationRecommended Dilution RatioWB 1:500-10000; IHC 1:200-500; IF 1:50-200FormulationPBS, pH 7.4, containing 0.5%BSA, 0.02% sodium azide as Preservative and 50% Glycerol.SpecificityThe antibody detects endogenous TF protein.PurificationThe antibody was affinity-purified from rabbit antiserum by affinity-chromatography using epitope-specific immunogen.Storage-15°C to -25°C/1 year(Do not lower than -25°C)MW(Observed)77kDModificationUnmodifiedClonalityPolyclonalIsotypeIgGAntigen&Target InformationImmunogen:Synthesized peptide derived from part region of human protein AA range: 230-310Specificity:The antibody detects endogenous TF protein.Gene Name:TFProtein Name:SerotransferrinOther Name:TF ; Serotransferrin ; Transferrin ; Beta-1 metal-binding globulin ; SiderophilinBackground:transferrin(TF) Homo sapiens This gene encodes a glycoprotein with an approximate molecular weight of 76.5 kDa. It is thought to have been created as a result of an ancient gene duplication event that led to generation of homologous C and N-terminal domains each of which binds one ion of ferric iron. The function of this protein is to transport iron from the intestine, reticuloendothelial system, and liver parenchymal cells to all proliferating cells in the body. This protein may also have a physiologic role as granulocyte/pollen-binding protein (GPBP) involved in the removal of certain organic matter and allergens from serum. [provided by RefSeq, Sep 2009],Function:Disease:Defects in TF are the cause of atransferrinemia [MIM:209300]. Atransferrinemia is rare autosomal recessive disorder characterized by iron overload and hypochromic anemia.,Function:Transferrins are iron binding transport proteins which can bind two Fe(3+) ions in association with the binding of an anion, usually bicarbonate. It is responsible for the transport of iron from sites of absorption and heme degradation to those of storage and utilization. Serum transferrin may also have a further role in stimulating cell proliferation.,online information:Transferrin entry,polymorphism:Different polymorphic variants of transferrin are known. The sequence shown is the predominant electrophoretic variant (C1 or TF*C1).,similarity:Belongs to the transferrin family.,similarity:Contains 2 transferrin-like domains.,subunit:Monomer.,tissue specificity:Expressed by the liver and secreted in plasma.,Cellular Localization:Secreted.Tissue Expression:Expressed by the liver and secreted in plasma.Research Areas:>>HIF-1 signaling pathway ; >>Ferroptosis ; >>Mineral absorption
商品信息已成功复制,启研竭诚为您服务
