Target:SHIP2
Fields:Inositol phosphate metabolism;Metabolic pathways;Phosphatidylinositol signaling system;B cell receptor signaling pathway;Fc gamma R-mediated phagocytosis;Insulin signaling pathway
Gene Name:INPPL1
Protein Name:Phosphatidylinositol 3,4,5-trisphosphate 5-phosphatase 2
Human Gene Id:3636
Human Swiss Prot No:O15357
Mouse Gene Id:16332
Mouse Swiss Prot No:Q6P549
Rat Gene Id:65038
Rat Swiss Prot No:Q9WVR3
Immunogen:The antiserum was produced against synthesized peptide derived from the Internal region of human INPPL1. AA range:351-400
Specificity:SHIP-2 Polyclonal Antibody detects endogenous levels of SHIP-2 protein.
Formulation:Liquid in PBS containing 50% glycerol, 0.5% BSA and 0.02% sodium azide.
Source:Polyclonal, Rabbit,IgG
Dilution:WB 1:500 - 1:2000. IHC: 1:100-300 ELISA: 1:20000.. IF 1:50-200
Purification:The antibody was affinity-purified from rabbit antiserum by affinity-chromatography using epitope-specific immunogen.
Concentration:1 mg/ml
Storage Stability:-15°C to -25°C/1 year(Do not lower than -25°C)
Other Name:INPPL1;SHIP2;Phosphatidylinositol 3,4,5-trisphosphate 5-phosphatase 2;Inositol polyphosphate phosphatase-like protein 1;INPPL-1;Protein 51C;SH2 domain-containing inositol 5'-phosphatase 2;SH2 domain-containing inositol phosphatase 2;SHIP-2
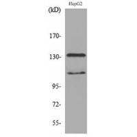
Observed Band(KD):130kD
Background: The protein encoded by this gene is an SH2-containing 5'-inositol phosphatase that is involved in the regulation of insulin function. The encoded protein also plays a role in the regulation of epidermal growth factor receptor turnover and actin remodelling. Additionally, this gene supports metastatic growth in breast cancer and is a valuable biomarker for breast cancer. [provided by RefSeq, Jan 2009],
Function:catalytic activity:Phosphatidylinositol 3,4,5-trisphosphate + H(2)O = phosphatidylinositol 3,4-bisphosphate + phosphate.,disease:Defects in INPPL1 may be a cause of susceptibility to type 2 diabetes mellitus non-insulin dependent (NIDDM) [MIM:125853].,disease:Genetic variations in INPPL1 may be a cause of susceptibility to metabolic syndrome. Metabolic syndrome is characterized by diabetes, insulin resistance, hypertension, and hypertriglyceridemia is absent.,domain:The NPXY sequence motif found in many tyrosine-phosphorylated proteins is required for the specific binding of the PID domain.,domain:The SH2 domain interacts with tyrosine phosphorylated forms of proteins such as SHC1 or FCGR2A. It also mediates the interaction with p130Cas/BCAR1.,enzyme regulation:Activated upon translocation to the sites of synthesis of PtdIns(3,4,5)P3 in the membrane. Enzymatic activity is enhanced in the
Subcellular Location:Cytoplasm, cytosol . Cytoplasm, cytoskeleton. Membrane ; Peripheral membrane protein. Cell projection, filopodium . Cell projection, lamellipodium . Nucleus . Nucleus speckle . Translocates to membrane ruffles when activated, translocation is probably due to different mechanisms depending on the stimulus and cell type. Partly translocated via its SH2 domain which mediates interaction with tyrosine phosphorylated receptors such as the FC-gamma-RIIB receptor (FCGR2B). Tyrosine phosphorylation may also participate in membrane localization. Insulin specifically stimulates its redistribution from the cytosol to the plasma membrane. Recruited to the membrane following M-CSF stimulation. In activated spreading platelets, localizes with actin at filopodia, lamellipodia and the central actin ring.
Expression:Widely expressed, most prominently in skeletal muscle, heart and brain. Present in platelets. Expressed in transformed myeloid cells and in primary macrophages, but not in peripheral blood monocytes.
商品信息已成功复制,启研竭诚为您服务
