Target:FOXP3
Fields:Th17 cell differentiation;Inflammatory bowel disease
Gene Name:FOXP3
Protein Name:Forkhead box protein P3
Human Gene Id:50943
Human Swiss Prot No:Q9BZS1
Mouse Gene Id:20371
Mouse Swiss Prot No:Q99JB6
Immunogen:The antiserum was produced against synthesized peptide derived from the C-terminal region of human FOXP3. AA range:381-430
Specificity:FOXP3 Polyclonal Antibody detects endogenous levels of FOXP3 protein.
Formulation:Liquid in PBS containing 50% glycerol, 0.5% BSA and 0.02% sodium azide.
Source:Polyclonal, Rabbit,IgG
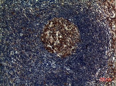
Dilution:WB 1:500 - 1:2000. IHC: 1:100-1:300. ELISA: 1:20000.. IF 1:50-200
Purification:The antibody was affinity-purified from rabbit antiserum by affinity-chromatography using epitope-specific immunogen.
Concentration:1 mg/ml
Storage Stability:-15°C to -25°C/1 year(Do not lower than -25°C)
Other Name:FOXP3;IPEX;JM2;Forkhead box protein P3;Scurfin
Observed Band(KD):47kD
Background: The protein encoded by this gene is a member of the forkhead/winged-helix family of transcriptional regulators. Defects in this gene are the cause of immunodeficiency polyendocrinopathy, enteropathy, X-linked syndrome (IPEX), also known as X-linked autoimmunity-immunodeficiency syndrome. Alternatively spliced transcript variants encoding different isoforms have been identified. [provided by RefSeq, Jul 2008],
Function:disease:Defects in FOXP3 are the cause of immunodeficiency polyendocrinopathy, enteropathy, X-linked syndrome (IPEX) [MIM:304790]; also known as X-linked autoimmunity-immunodeficiency syndrome. IPEX is characterized by neonatal onset insulin-dependent diabetes mellitus, infections, secretory diarrhea, trombocytopenia, anemia and eczema. It is usually lethal in infancy.,function:Probable transcription factor. Plays a critical role in the control of immune response.,online information:FOXP3 entry,online information:FOXP3 mutation db,similarity:Contains 1 C2H2-type zinc finger.,similarity:Contains 1 fork-head DNA-binding domain.,
Subcellular Location:Nucleus . Cytoplasm . Predominantly expressed in the cytoplasm in activated conventional T-cells whereas predominantly expressed in the nucleus in regulatory T-cells (Treg). The 41 kDa form derived by proteolytic processing is found exclusively in the chromatin fraction of activated Treg cells (By similarity). .
商品信息已成功复制,启研竭诚为您服务
